Другие статьи

Шинирование зубов

Реставрация зубов
Что такое шинирование зубов? Шинирование – это “наложение шины” на подвижные зубы: укрепление стекловолоконной лентой, коронкой или зубным протезом. Чаще всего шинирование проводится при пародонтозе, когда корни оголяются, зубы расшатываются, и есть риск их потери. В каких случаях рекомендуется шинирование?
Помимо пародонтоза, шинирование проводят в следующих ситуациях:
  • при расхождении зубного ряда
  • при нестандартном направлении роста зубов
  • при переломах, ушибах и травмах челюсти с вывихом зубов
Очень важно определить проблему расшатывания зубов на начальном этапе и укрепить их. Поэтому при первых симптомах необходимо обратиться к стоматологу. Шинирование может быть трех видов: временное, долгосрочное или постоянное.
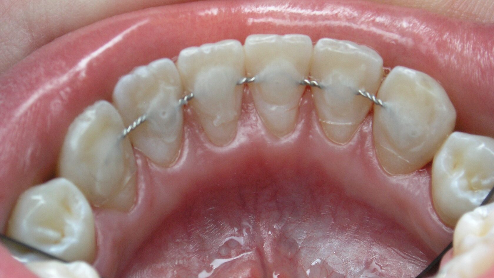
По способу проведения шинирование подвижных зубов фиксируют шинирующую ленту или ретейнер, для прочности конструкции можно отпрепарировать канавку для более глубокого размещения ленты. Этот способ подходит как для шинирования верхних и нижних фронтальных (передних) зубов, так и для боковых. Эффект его в том, что лента превращается в балку, которая надежно прикреплена к зубам и обеспечивает их неподвижность. Кроме того шина помогает перераспределять нагрузку между зубами при жевании. Шинирование коронками представляет собой фиксацию на подвижных зубах спаянных между собой коронок. Это более долгосрочный способ шинирования, но его минус в том, что зубы необходимо предварительно депульпировать (удалить нерв) и обточить. Шинирование бюгельными протезами - самый надежный и долговечный способ шинирования, но и он имеет свои плюсы и минусы. Плюсы в том, что параллельно с укреплением подвижных зубов, можно заполнить отсутствующие зубы, а минусы - в высокой цене. Шинирование - процедура, помогающая сохранить зубы, которые без нее выпадут. И более эффективного способа решения проблемы подвижности пока не существует.