Если вы заметили свищ на десне у ребенка для лечения можно обратиться в стоматологию «Дока-Дент» в Москве.
Свищевой ход (фистула) - это канал в десне, который выглядит как отверстие или мешочек. По нему из очага воспаления в челюсти отводятся жидкость и гной. При образовании свища на десне у ребенка с лечением не стоит затягивать, иначе возможны серьезные осложнения.
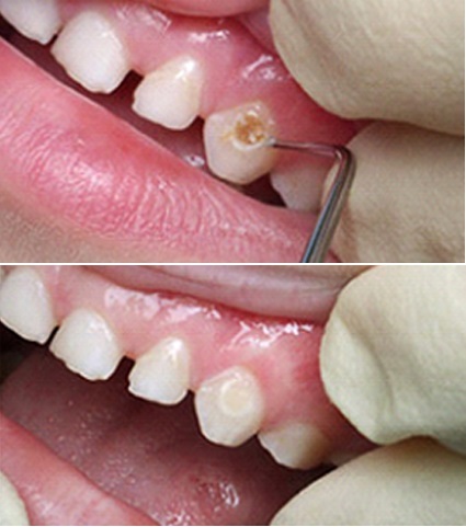
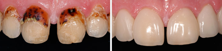
Свищ на десне у ребенка: фото до и после
Почему появляется свищ на десне у ребенка
Чаще всего свищ у ребенка на десне молочных зубов или постоянных является следствием запущенного кариеса. Начальные стадии кариозного процесса нередко проходят незаметно. А когда зуб начинает болеть, это значит, инфекция проникла в пульпу и велика вероятность гнойного воспаления корней.
К формированию фистулы приводят такие патологии, как:
- периодонтит;
- остеомиелит;
- киста;
- гайморит;
- травма челюсти.
Иногда причина образования свища на десне у ребенка - лечение у недостаточно квалифицированного врача. Если стоматолог не полностью удалил инфицированные ткани или случайно перфорировал корень, в зубе продолжают развиваться бактерии и может начаться воспаление с формированием шишки, а затем и свища.
Как лечат свищ на десне у ребенка
Методы лечения свища на десне у детей бывают терапевтическими, медикаментозными и хирургическими. Выбор тактики зависит от причины развития патологии. Когда она спровоцирована гнойным воспалением корня временного зуба, его удаляют, чтобы предупредить инфицирование зачатка постоянного зуба. Если приходится иметь дело с последствиями врачебной ошибки или воспаления корня постоянного зуба, каналы вскрываются, а отмершие ткани удаляются.
С любыми стоматологическими проблемами вы можете обратиться в клинику «Дока-Дент». Запись по телефону или через интернет.