Другие статьи

Скобы (Пластинки) для зубов

Ортодонтия
Самым распространенным видом ортодонтического лечения в клинике «Дока-Дент» является применение съемных брекетов для зубов (чаще называемых пластинками и скобами). Скобы на зубы помогают расширять зубные ряды, а также изменять положение каждого отдельного зуба. Они используются не только для создания идеальной улыбки, но и для исправления прикуса, сохранения здоровых десен. Эти средства коррекции зубов также снижают риск развития разных заболеваний полости рта.

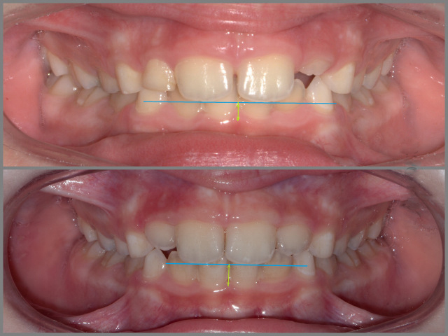
Скобы (Пластинки) для зубов: фото до и после

Ортодонтические проблемы, которые может решить установление пластинки для исправления прикуса:
  • корректирование неправильного прикуса;
  • исправление формы кости челюсти;
  • корректирование ширины неба;
  • стимулирование (или торможение) роста челюсти;
  • предотвращение либо исправление смещения отдельных зубов.
Скобы для зубов или ортодонтические пластинки для зубов изготавливают из пластика либо мягкой пластмассы. К зубам они прикрепляются с помощью специальных металлических крючков, пластинки для коррекции имеют направляюще дуги. Исправление неправильного прикуса пластинами в раннем детском возрасте особенно эффективно, так как формирование зубочелюстной системы не завершено.
Съемные брекеты можно носить в любое время (и днем, и ночью). Но их использование показано лишь при незначительных искривлениях зубов. Если проблема серьезней, то носить пластину нужно, не снимая. Несъемные пластинки для выравнивания зубов необходимы для всей внешней поверхности зубов. Несъемная скоба создается из системы маленьких замочков, в каждый из которых вставлены металлические дуги, время от времени стягивающиеся в нужном направлении. Такие зубные пластины способны в рекордные сроки исправить человеку зубы в любом возрасте. Подобные пластинки для взрослых могут регулировать расстояние межзубных щелей, тем самым помогая решить проблему со сложной деформацией зубного ряда. Носят эти несъемные пластинки по несколько лет. Сроки по ношению такой системы определяет только профессиональный ортодонт.
Пластины для выравнивания зубов, применяемые в «Дока-Дент», изготовлены из очень качественной пластмассы. В их составе отсутствуют вредные химические элементы. Используемая для дуг и крючков проволока имеет специальный определенный коэффициент давления. Именно поэтому ваши зубы не ощутят ни боли, ни усиленного давления на них.
Использование новейших методик исправления прикуса обеспечивает комфортное и эффективное лечение в «Дока-Дент», по завершению которого вы получите улыбку, о которой мечтали.