Другие статьи

Имплантация передних зубов

Имплантация зубов
Дефекты во фронтальной зоне всегда заметны, поэтому их необходимо как можно быстрее устранить, оптимальный вариант в такой ситуации – имплантация передних зубов. На сегодняшний день это самый совершенный способ восстановить красоту улыбки, ведь традиционное протезирование имеет определенные недостатки. Несъемные конструкции требуют обточки соседних здоровых зубов, а съемные приспособления имеют крепления, которые трудно скрыть от посторонних глаз. Имплантация переднего зуба позволит избежать подобных проблем.

Особенности имплантации передних зубов

Основная функция зубов данной группы - откусывание пищи. В процессе жевания они не участвуют, однако, зрительный эффект в этой области должен быть наилучшим. К тому же, строение десен здесь имеет свои особенности. Исходя из этого, к протезам предъявляются особые требования:
  • При имплантации передних зубов должны использоваться материалы, биологически совместимые с тканями ротовой полости. Это поможет предотвратить риск отторжения искусственной конструкции и вероятность изменения цвета десны.
  • Площадь для установки протеза в переднем отделе челюсти намного меньше, чем в области жевательных зубов, из-за чего используются более тонкие и длинные импланты.
  • Поскольку зона улыбки находится на виду, имплантации переднего зуба нередко выполняется с применением одноэтапной методики.
Самые современные технологии предусматривают создание коронки и абатмента («переходника», соединяющего искусственный корень с коронкой) из диоксида циркония. Этот материал имеет максимально эстетичный вид и абсолютно не взаимодействует с тканями организма, что исключает возникновение аллергии или воспаления после имплантации переднего зуба.

Как проводится имплантация передних зубов

Насколько быстро будет устранен дефект, зависит от состояния костной ткани и слизистой оболочки в месте утраты зуба. Чем лучше состояние полости рта пациента, тем меньше времени требуется на подготовку. Иногда перед имплантацией передних зубов необходимо купировать воспаление десен, сделать санацию, нарастить десну или костную ткань, если они атрофировались.
Процедура включает в себя следующие этапы:
  1. Обезболивание местным анестетиком.
  2. Отслойку десневого лоскута.
  3. Ввинчивание импланта в челюстную кость.
  4. Установку абатмента.
  5. Наложение швов.
  6. Фиксацию временной коронки.
После имплантации переднего зуба требуется несколько месяцев на приживление. Только после этого можно будет установить постоянную коронку. Восстановление нижних зубов проходит быстрее, чем верхних. Из-за особенностей строения челюсти приживление после имплантации передних зубов занимает здесь меньше времени.

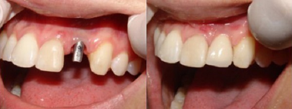
Имплантация передних зубов: фото до и после

Противопоказания

Абсолютные противопоказания к имплантации передних зубов:
  • Болезни органов кроветворения.
  • Тяжелые хронические заболевания (туберкулез, стоматит, сахарный диабет, ревматизм).
  • Болезни костной системы, при которых уменьшается способность костей к регенерации (остеопороз).
  • Нарушение функции периферической и центральной нервной системы.
  • Онкологические болезни во время лечения и в период реабилитации.
Относительные противопоказания к имплантации переднего зуба:
  • Повышенная стираемость зубов.
  • Нарушения прикуса.
  • Пародонтит.
  • Несоблюдение гигиены полости рта.
  • Наличие в организме любых металлических предметов (в том числе стимуляторов сердечной деятельности).
  • Опухоли челюстно-лицевой зоны.
  • Нарушение функции височно-нижнечелюстного сустава.
  • Бруксизм (скрежетание зубами во сне).
  • Некоторые анатомические особенности челюсти, мешающие имплантации передних зубов (близкое расположение гайморовых пазух, атрофия кости).
  • Беременность и период грудного вскармливания.
  • Алкоголизм.
  • Курение.
  • Злоупотребление кофеиносодержащими напитками.
  • Образ жизни, связанный с тяжелыми физическими нагрузками или риском получить травму.
В этих случаях необходимо устранить вышеуказанные факторы, после чего можно приступать к имплантации переднего зуба.