Другие статьи

Циркониевые коронки

Коронки
Когда порядка 50 лет назад в арсенале ортопедов – специалистов по протезированию зубов – появилась металлокерамика, казалось, что все проблемы в этой сфере решены навсегда. Однако диоксид циркония – революционный материал, легший в основание революционного же метода – поменял представление о том, что такое современное протезирование. Современные коронки на каркасе из диоксида циркония (циркониевые коронки) – одни из самых надежных, безопасных, гигиеничных из существующих сегодня.
К основным преимуществам коронок на основе диоксида циркония относятся:
  • Абсолютная биосовместимость (процент приживаемости коронок из диоксида циркония – до 99%! – это рекорд в протезировании),
  • Гипоаллергенность,
  • Прочность,
  • Светопроницаемость, по степени максимально приближенная к светопроницаемости родных зубов
- все это уникальные характеристики коронок из оксида циркония, сразу после появления ставших запросом клиники.
Кроме собственно качественных и гигиенических параметров, у зубных коронок из циркония есть еще несколько преимуществ. Например, при их изготовлении используется компьютерный дизайн и фрезирование, что делает точность производства и установки максимальной, а ношение протезов из циркония – удивительно комфортным. Протез прикрепляется к зубу без каких-либо зазоров, а обработанная низкотемпературной керамикой поверхность снижает вероятность образования воспалений и развития кариеса. Универсальность – еще одно удобство для пациента и врача. Циркониевые коронки можно ставить как на передние, так и на боковые и жевательные зубы, на отдельные зубы и на целые зубные ряды.

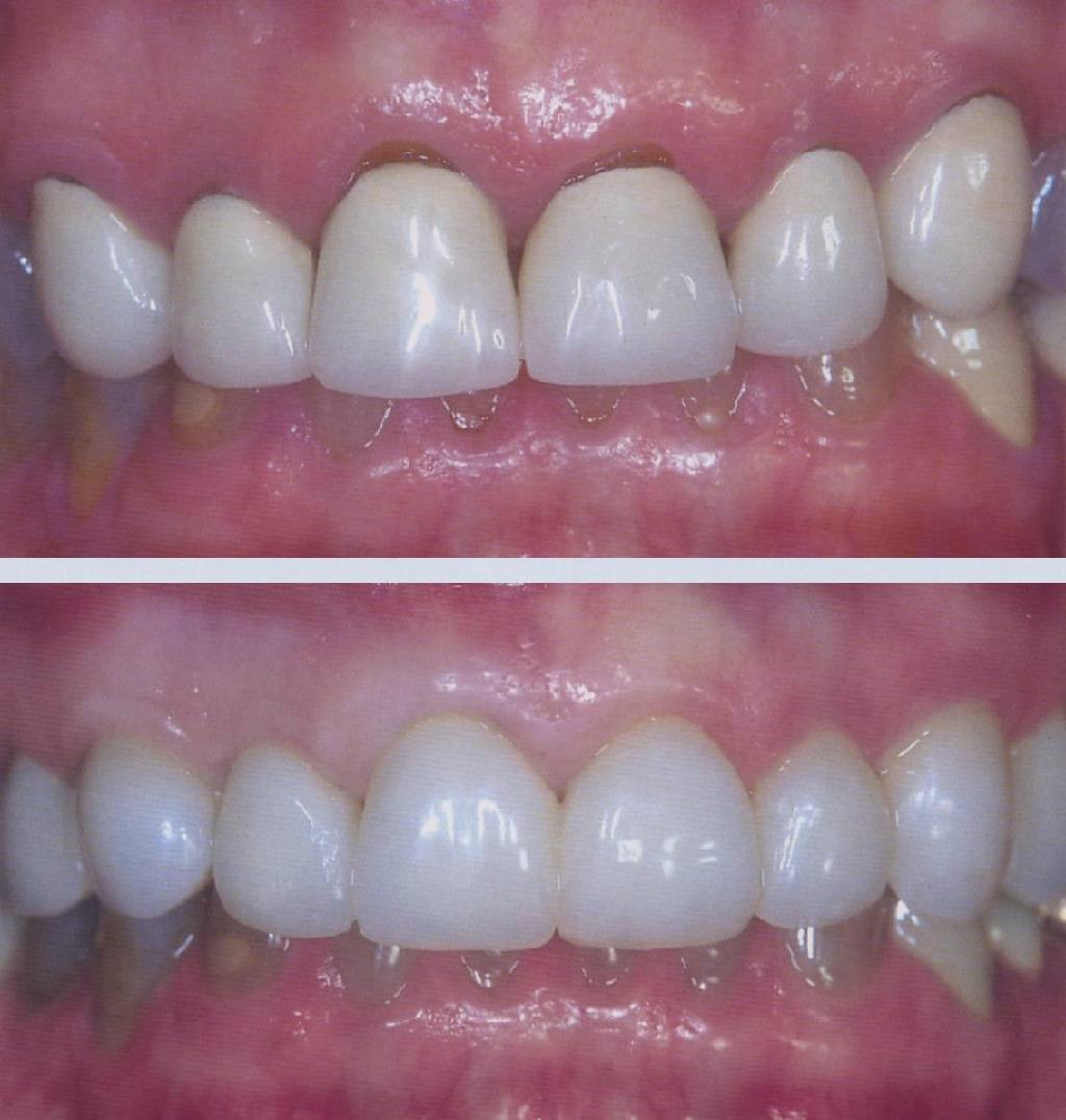
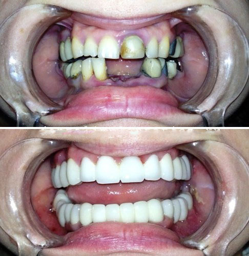
Циркониевые коронки: фото до и после

Цена на циркониевые коронки

Изготовление и установка циркониевых коронок – это в самом точном смысле этого слова – апогей высоких технологий. Поэтому их нередко причисляют к разряду элитного протезирования. Бесспорно, стоимость циркониевых коронок несколько выше, чем стоимость металлических аналогов, или тех, что выполнены из других материалов. Однако такое качество вам не может гарантировать ни один другой протез. Минимальный срок службы – 20 лет. А при выполнении всех рекомендаций врача и элементарного ежедневного гигиенического ухода, он возрастает еще на десять, по меньшей мере. Полная иллюзия своих зубов, максимальная гигиеничность (вероятность возникновения кариеса практически сведена к нулю), повышенные характеристики прочности – все это убедительные аргументы в пользу коронок из циркония.