Другие статьи

Зуб за час

Имплантация зубов
Одномоментная, мгновенная, немедленная имплантация зуба, которую многие считают также моментальной, – это процедура, требующая от врача, который ее проводит, определенных профессиональных умений, квалификации и опыта.

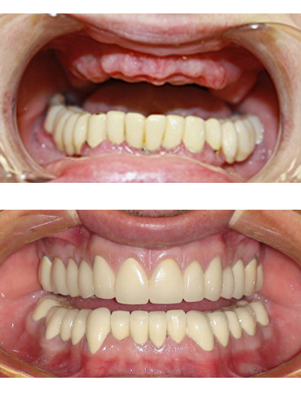
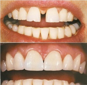
Зуб за час: фото до и после

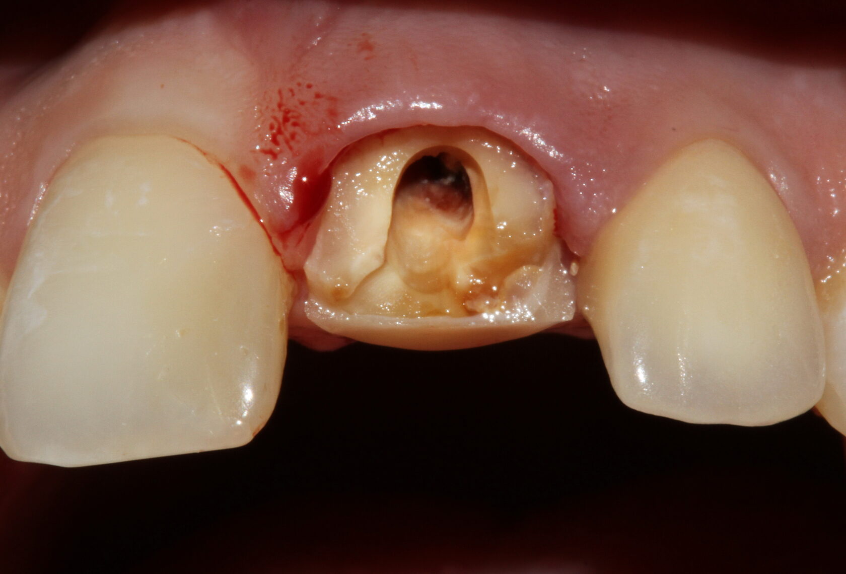
1. Удаление
2. Одномоментная имплантация
3. Подготовка протеза.
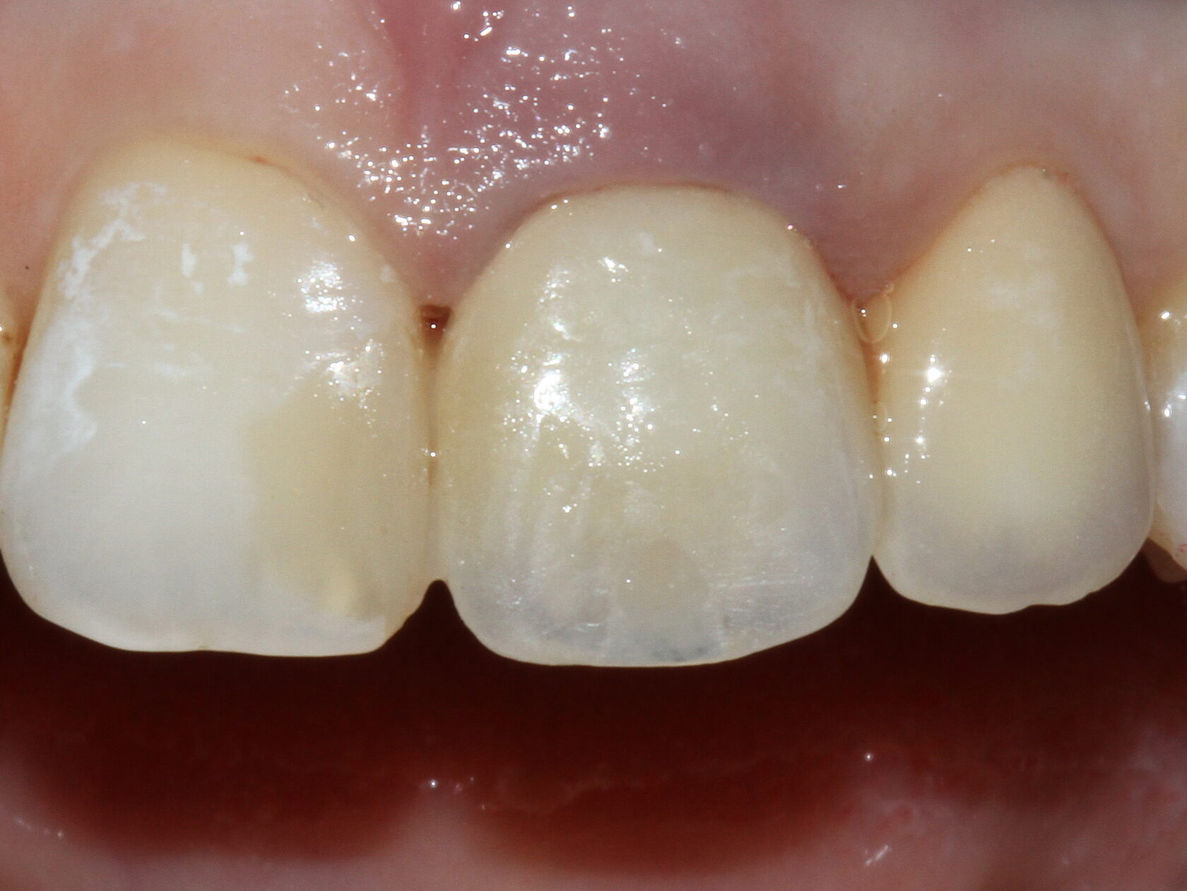
4. Через час дефект был устранен.