Другие статьи

Рентгенологическая диагностика

Рентгенологическая диагностика
Методы диагностики в стоматологии позволяют с высокой точностью определить причины той или иной стоматологической проблемы, визуализировать с максимальной достоверностью малейшие участки зубов и, как следствие, подобрать наиболее эффективные методы устранения различных заболеваний зубов. Клиника «Дока-Дент» использует только инновационное оборудование для диагностики, которое обеспечивает получение достоверных данных по состоянию зубов даже в процессе выполнения сложных хирургических и терапевтических процедур.
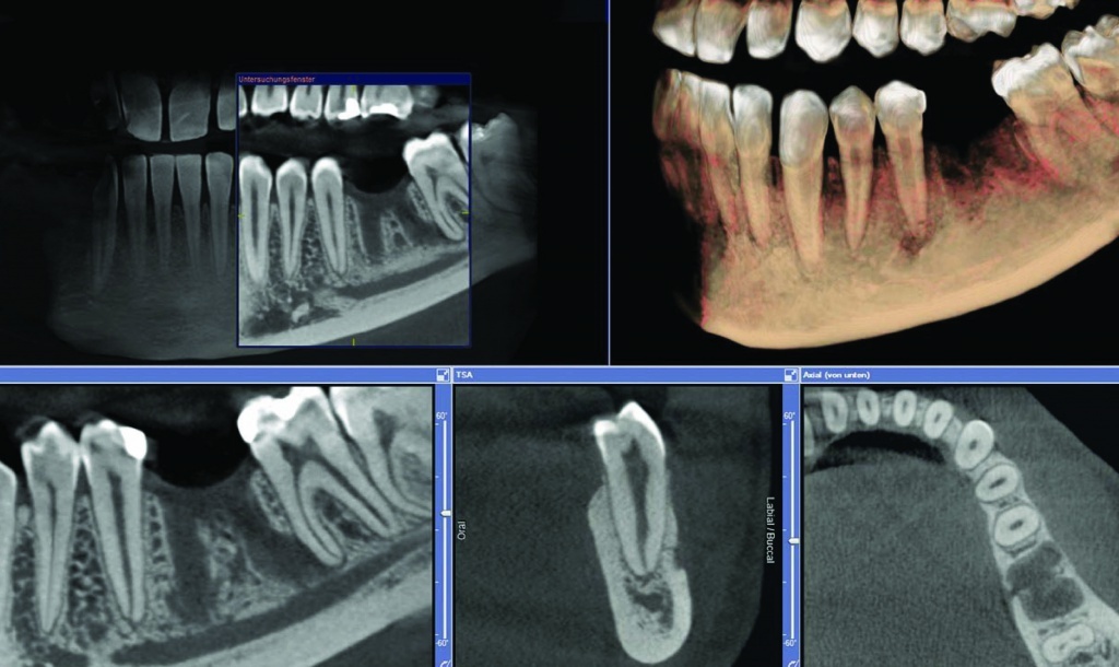
3D-снимок зубов. Трехмерный снимок зубов создается с помощью обновленного ортопантомографа, оснащенного современнейшим программным обеспечением, которое используется для обработки получаемых данных. Этот вариант компьютерной томографии оказывает намного меньшую лучевую нагрузку на организм пациента и может использоваться как на раннем этапе диагностики, так и во время лечения зубов.
Компьютерная томография. Дентальная КТ используется для получения снимка зубов в нескольких плоскостях и с разной глубиной сканирования. Преимуществом компьютерной томографии является отсутствие искажений на полученном снимке. В отличие от пленочного рентген-аппарата томограф не оказывает сильной лучевой нагрузки на ткани, поэтому разрешен даже для исследования зубов беременных женщин и детей.
Панорамный снимок. Этот метод рентгеновского исследования зубов делает возможным получение снимка с полным изображением челюсти и всех зубов пациента. Благодаря применению цифровых технологий и высококачественной пленки изображение получается чрезвычайно четким и детальным. Это делает процедуру важным этапом диагностики перед удалением зубов и не только.
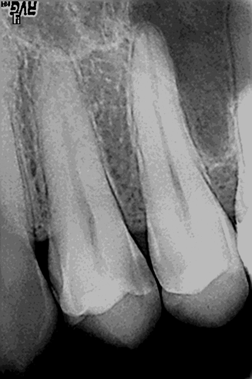
Прицельный снимок. Данный метод диагностики служит для оценки состояния тканей самого зуба, окружающих десен, костной ткани и пародонта десны. Возможности в точной постановке диагноза позволяют использовать этот диагностический метод для выявления очагов воспаления за верхушкой зуба, патологий коронковой части зуба, контроля качества пломбирования зубов.
Рентген зубов. Рентгеновское обследование зуба является важнейшим этапом комплексного лечения различных стоматологических заболеваний. Рентгеновский снимок предоставляет важную информацию о состоянии зубов, корней, наличии кариеса, кист, опухолей и т.д.
Слепки зубов. Хорошие оттиски зубов – основа качественного протезирования. Благодаря использованию специальных материалов специалисты нашей клиники изготавливают точный отпечаток зубов пациента, сохраняющий свою форму для дальнейшей работы специалиста.