Другие статьи

Металлокерамические мостовидные протезы

Мостовидные зубные протезы
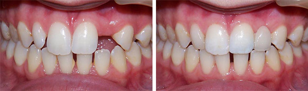
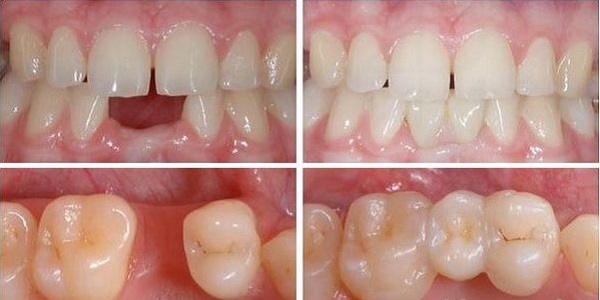
При отсутствии в ряду от одного до трех идущих подряд зубов может быть установлен металлокерамический мостовидный протез. При этом для обеспечения надежной опоры задействуются соседние с дефектом зубы, и они должны быть в состоянии взять на себя большую нагрузку.

Металлокерамические мостовидные протезы: фото до и после

Виды металлокерамических мостовидных протезов

Мосты из металлокерамики различаются по способу крепления. Их может быть три:
  • На стоматологический цемент. Это классический способ фиксации - мостовидная конструкция получается монолитной и несъемной.
  • С помощью микрозамков. Такой мост из металлокерамики состоит из двух частей, снабженных замками. Одна устанавливается на опорные зубы, вторая замещает дефект. При соединении частей замки защелкиваются.
  • С помощью телескопических коронок. Такой металлокерамический мостовидный протез также состоит из двух частей, только вместо замков прочное соединение образуют надетые друг на друга коронки.

Какой материал используют для металлокерамических мостов

Металлокерамический мост создается методом литья или напыления фарфорового слоя на каркас из металла. Основа протеза может быть изготовлена из сплавов недрагоценных металлов (кобальта с хромом, никеля с хромом) или сплавов золота, серебра, платины и палладия.
От выбора материала для будущего каркаса зависит не только цена, но и эстетичность, прочность и долговечность моста из металлокерамики. Протезы на сплавах благородных металлов выглядят более привлекательно, поскольку бледно-желтый цвет основы похож на цвет натурального дентина. Это придает коронкам естественный теплый оттенок.
Также благодаря отличной биологической совместимости, гипоаллергенности и устойчивости к коррозии металлокерамический мостовидный протез на золоте не оказывает негативного влияния на организм, поэтому его установка показана пациентам с заболеваниями эндокринной и кровеносной систем, почек и желудочно-кишечного тракта. Кроме того, под слоем золота зубы не подвержены развитию вторичного кариеса.
Для внешнего покрытия протезов используются стоматологические фарфоровые массы, в которые добавляются пигменты для достижения нужного оттенка искусственных зубов.

Преимущества и недостатки мостов из металлокерамики

Металлокерамический мост обладает массой достоинств:
  • Высокая прочность, надежность и долговечность. Конструкции прекрасно выдерживают большие нагрузки и при хорошем уходе могут прослужить более 10 лет, а изделия из благородных металлов – еще дольше.
  • Хорошая визуальная имитация настоящих зубов.
  • Устойчивость цвета протеза к воздействию пищевых красителей.
  • Гигиеничность. На мосте из металлокерамики не скапливаются бактерии – это особенно важно для пациентов, страдающих заболеваниями пародонта.
  • Доступная стоимость.
Из недостатков стоит упомянуть:
Отсутствие прозрачности искусственных коронок. Это хорошо видно на фоне соседних натуральных зубов. По данной причине металлокерамический мостовидный протез лучше всего ставить не на передние, а на жевательные зубы, а при восстановлении зоны улыбки отдать предпочтение цельнокерамическим или циркониевым коронкам.
Большая вероятность изменения цвета десны. Такой побочный эффект вызывают протезы на основе неблагородных металлов. Предупредить подобное явление можно, если сделать коронки с керамическим плечом или установить металлокерамический мост на драгоценном сплаве.
Из-за достаточно большой толщины ортопедической конструкции для ее установки требуется сточить значительное количество зубных тканей, а перед этим выполнить депульпацию, то есть удаление зубного нерва.