Каждый вам скажет, что лечение зубов, особенно когда заходит речь о протезировании и хирургическом восстановлении функций и эстетики зубного ряда, - это достаточно дорогостоящая процедура. Поэтому нам тем более приятно предложить вашему вниманию эффективную, но при этом недорогую технику – пластмассовые коронки.
Их цена существенно ниже стоимости металлокерамических и металлических систем. При этом они обеспечивают хорошее качество, носкость, долгий срок службы и комфорт.
Зубные коронки из пластмассы – это удачный компромисс между эффективностью и ценой в тех случаях, когда есть потребность в экономии.
Пластмассовые зубные коронки: за и против
То, что пластмасса как материал гораздо уязвимее металла, циркония и керамических сплавов, - очевидный и давно известный факт. Но это не значит, что на коронки, выполненные из него, нельзя положиться. Срок их безупречной службы – не менее 3-5 лет. При этом в первые годы по своим эстетическим качествам они не будут уступать значительно более дорогим аналогам. Кроме того, в отличие от металлических и керамических, на изготовление пластмассовых коронок требуется гораздо меньше времени. Снятие слепка, изготовление формы и подгонка – все это вполне реально выполнить за одно посещение нашей клиники.
Интересно, что при всех ограниченных характеристиках пластиковых коронок, у них есть своя уникальная сфера применения. То, что в одних обстоятельствах обычно расценивается как недостаток, в других превращается в достоинство. При многоэтапном протезировании именно пластиковые коронки устанавливаются для начальной стадии. Изготавливаются они в буквальном смысле в считанные минуты, быстро устанавливаются, служат столько, сколько им положено и обеспечивают хорошие функции и красивый внешний вид.
Временные пластмассовые коронки – это незаменимое оружие стоматологов при лечении, требующем длительного периода изготовления мостов или протезов, а также в случаях отсроченной имплантации.
Временные коронки на зубы позволяют вести привычный образ жизни, практически не ограничивая себя ни в чем, при этом эстетика и функции зубов при применении этой техники будут полностью сохранены.
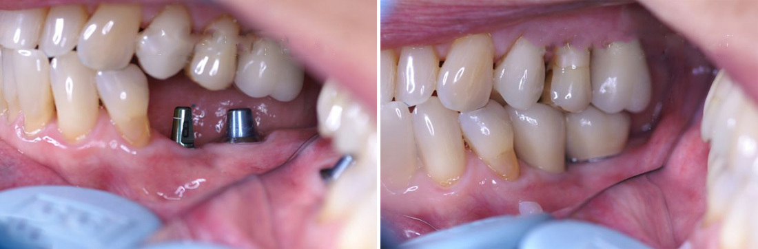
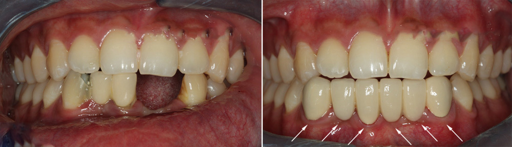
Пластмассовые зубные протезы: фото до и после
Цена на пластмассовые коронки
Низкая стоимость самого материала, простота и скорость изготовления, универсальность – вот однозначные преимущества пластмассовых коронок. Их невысокая цена позволяет сэкономить на полноценном ортодонтическом лечении, и получить результат буквально за один прием врача. Если у вас остались вопросы, или вам захотелось узнать подробнее о том, что входит в стоимость услуги по постановке пластмассовых коронок, пожалуйста, звоните в любой из наших филиалов и записывайтесь на бесплатную первичную консультацию.