Другие статьи

Импланты Nobel Biocare

Имплантация зубов
Восполнение зубного ряда — одна из самых болезненных в прошлых годах стоматологических процедур. К сожалению, и сегодня пациенты, не ведающие о более совершенных методиках, соглашаются на катастрофическое обтачивание здоровых зубов ради установки моста. Максимум через десять лет конструкция потребует замены, а часто, — и удаления разрушившихся «опор». Ситуация тем более парадоксальна, что почти полвека во всем мире практикуется безболезненная методика восстановления зубного ряда с помощью имплантов Nobel Biocare.
Изюминка легендарной технологии — идеальное срастание живого костного материала с имплантатом, изготовленным из чистейшего титана. Практика демонстрирует 99,7 % отличной приживаемости. Компания Nobel Biocare (международный холдинг), основанная автором изобретения, — единственный в мире производитель стоматологической продукции, предоставляющий пациентам пожизненную гарантию.

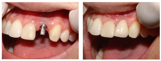
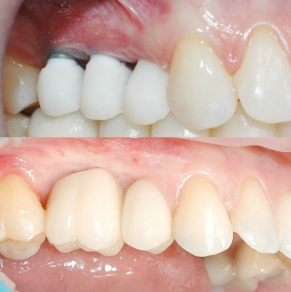
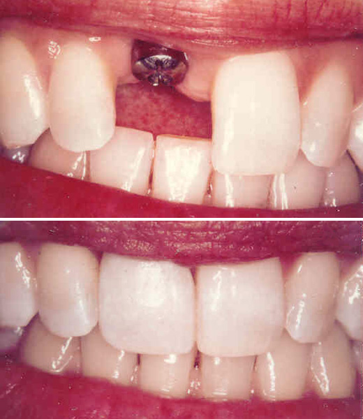
Импланты Nobel Biocare: фото до и после

Суть процедуры

Уникальные импланты Nobel Biocare полноценно заменяют коренные зубы и абсолютно не тревожат соседей по ряду. Процедуру вживления проводят опытные хирурги клиники «Дока-Дент», прошедшие специальную подготовку. Продолжительность мероприятия не превышает длительность стандартных стоматологических манипуляций и не сопровождается болевыми ощущениями. Удаление зуба — гораздо более серьезная операция.
В зависимости от выбранной технологии на имплантат надевают коронку сразу или спустя несколько дней.
Достоинства имплантов Nobel Biocare
Ежегодно свыше 2 000 000 пациентов во всем мире (жители более 94 стран) выбирают уникальные импланты, возвращающие белоснежную красивую улыбку. Это очевидное подтверждение их великолепных характеристик:
  • Импланты Nobel Biocare изготавливаются по оригинальной методике, эффективность которой подтверждена сотнями исследований (клинических и лабораторных). Высочайшее качество материалов гарантирует круглосуточная система контроля производства, исключительную точность каждой модели — инновационное высокотехнологичное оборудование.
  • Импланты становятся естественной биологической составляющей костей челюсти. Они рассчитаны на полноценную жевательную нагрузку.
  • Для изготовления каждого образца применяются новейшие компьютерные технологии. Подлинность имплантов подтверждается специальными сертификатами и присвоением уникального номера.
Важнейшее достижение инновационной стоматологии — доступная цена имплантов Нобель Биокеа. Тем более что их устанавливают один раз и на всю жизнь.