Пульпит

Кариес при беременности

Стоматология для беременных
Во время вынашивания ребенка защитные силы материнского организма ослаблены, из-за чего кариес при беременности — довольно частое явление. Чтобы не инфицировать плод, заболевание нужно лечить, но только в благоприятные для этого сроки. Не рекомендуется проводить лечение на первом, втором и последнем месяцах беременности, но если уж вы попали к стоматологу, сразу поставьте доктора в известность о вашем положении.

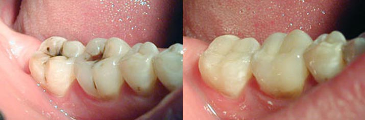
Кариес при беременности: фото до и после

По каким показаниям у беременных лечат кариес?

Кариес во время беременности лечится, если у женщины обнаружилось поражение большого количества зубов с тенденцией к быстрому прогрессированию. Также срочного лечения требует наличие гнойного воспаления или острых болей. В других случаях лучше подождать более подходящего для лечения момента.

Есть ли особенности лечения зубов у беременных?

Прежде чем лечить кариес у беременных стоматолог тщательно собирает медицинский анамнез (сведения о предыдущих беременностях, о сопутствующих заболеваниях и патологических состояниях — таких как гипертоническая болезнь, сахарный диабет, преэклампсия, эклампсия). В некоторых случаях необходима консультация с гинекологом, который ведет беременность пациентки. Будущим мамам рентген делают лишь при крайней необходимости и только на современном цифровом оборудовании с минимальным излучением. Особое внимание уделяется подбору анестетиков: они не должны быть токсичными.

Какой должна быть профилактика кариеса у беременных?

В первую очередь это качественная гигиена полости рта. Зубы и язык нужно хорошо очищать от налета, причем, кроме зубной щетки необходимо пользоваться и флоссом. Рацион беременной женщины должен включать продукты с повышенным содержанием кальция и минеральных веществ. Посоветуйтесь с врачом насчет приема витаминов и, конечно же, регулярно посещайте стоматолога для профилактического осмотра.

Влияет ли кариес на плод?

Да. Кариозные зубы — очаг инфекции в организме. А значит, помимо развития серьезных стоматологических заболеваний у матери, может произойти и заражение плода. Усиленное размножение кариесогенных бактерий нередко провоцирует преждевременное наступление родов и рождение малыша с низкой массой тела.

Как проводят лечение кариеса во время грудного вскармливания?

В период грудного вскармливания кариес лечится как обычно: проводится обезболивание, после чего кариозная полость раскрывается, расширяется и очищается от пораженных тканей. Далее выполняются антисептическая обработка и пломбирование полости. Заключительный этап — шлифовка и полировка пломбы. Но надо иметь в виду, что через грудное молоко в детский организм могут попасть нежелательные вещества из лекарств. Поэтому перед началом лечения обязательно сообщите стоматологу, что кормите грудью. Врач подберет препараты, которые не навредят малышу.

Как понять, что лечение кариеса во время беременности проводится правильно?

Главный критерий качества здесь — абсолютная безопасность для будущего ребенка.
Во время лечения беременная женщина не должна подвергаться стрессу и испытывать дискомфорт. Ну и, конечно же, важно, чтобы вылеченный зуб больше не беспокоил, а реставрация имела эстетичный вид.

Сколько стоит лечение кариеса у беременных?

Ориентировочные цены на услуги можно посмотреть в прайс-листе или уточнить у администраторов клиник Дока-Дент. А точный расчет суммы будет сделан по результатам диагностики после составления плана лечения, ведь его стоимость зависит от многих факторов — таких как запущенность заболевания, используемые материалы, препараты и т.д.