Другие статьи

Импланты Astra Tech

Имплантация зубов
Какими должны быть современные импланты?
Надежными, функциональными, быстрыми в установке, универсальными.
Шведские импланты Astra Tech не только обладают всеми указанными качествами, но на порядок превосходят аналоговые системы протезирования зубов.

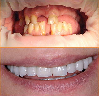
Импланты Astra Tech: фото до и после

Астра Тек импланты: безусловные преимущества
Выполненные из титанового сплава, это единственные в мире импланты, материал которых сам способствует скорейшему заживлению после протезирования.
Форма импланта – коническая, винтовая. Она позволяет естественно, быстро, надежно установить соединение в костной ткани и компенсировать нагрузку так, чтобы основная ее часть приходилась на более глубокие слои. Более того, у имплантов Astra увеличена так называемая контактная зона. Это автоматически делает Астратек импланты одними из самых надежных и крепких в своем семействе. Гарантированный срок службы системы – от 30 лет.
Благодаря инновационным материалам, уникальной самовинчивающейся форме, эти импланты можно устанавливать при любых клинических случаях, как для восстановления соседних зубов, так и целого зубного ряда. Шероховатая поверхность и микрорезьба делают крепление сверхпрочным.
Кажется, что производители позаботились обо всем. И это неудивительно. Как уже говорилось, импланты астра тек разработаны в Швеции – стране, где такая проблема как полная потеря зубов – это основание для того, чтобы считать человека инвалидом, и назначать ему соответствующие социальные выплаты и медицинский уход.
Продуманы даже мелочи. Например, винты-заглушки, которые предотвращают от внешних повреждений на весь период приживания зуба.
Недаром, эти импланты врачи всего мира без всякого преувеличения называют лучшими. Надежные, эффективные, универсальные – все эти характеристики делают импланты Astra Tech, цену на которые можно узнать на личном приеме у наших специалистов, выбором номер 1.