Другие статьи

Керамические брекеты

Брекеты
Многих пациентов пугает ортодонтическое лечение из-за перспективы длительного ношения на зубах непривлекательных конструкций, но в современной стоматологии есть эстетичное решение – это керамические брекеты. Такие системы практически незаметны на зубах, и после их установки вы сможете общаться и улыбаться без стеснения.

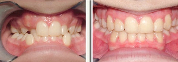
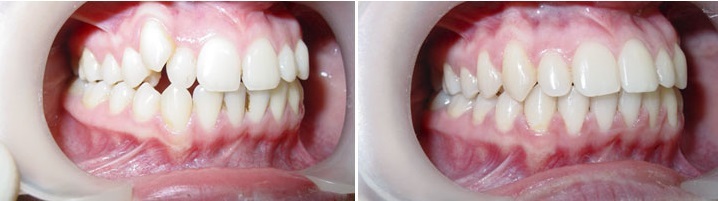
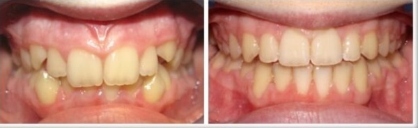
Керамические брекеты: фото до и после

Что такое керамические брекеты?

Это вестибулярная конструкция, которая крепится на зубах с помощью особого клея и состоит из следующих частей:
  • сами керамические брекеты (маленькие пластинки), цвет которых подбирается под оттенок эмали пациента;
  • эластичная металлическая дуга - она соединяет брекеты между собой и выравнивает зубы в ряду за счет силы натяжения;
  • лигатуры (присутствуют только в лигатурных конструкциях) – специальные элементы, которые соединяют брекеты и дугу.
Керамические брекеты обладают множеством достоинств:
  • привлекательный внешний вид: аппараты могут иметь обычную или белую дугу – во втором случае они практически незаметны во рту;
  • стоматологический фарфор – инертный материал, поэтому не вступает в ротовой полости ни в какие реакции;
  • сами по себе керамические брекеты гипоаллергенны, вопрос в том, нет ли у пациента аллергии на металлы;
  • керамика не впитывает пищевые красители, табачные смолы и дым, поэтому со временем не меняет окраски.

Показания и противопоказания к установке керамических брекетов

Керамические брекет-системы рекомендуются к применению в следующих случаях:
  • аномалии отдельных зубов;
  • патологии прикуса;
  • подготовка ротовой полости к протезированию;
  • необходимость улучшить эстетику лица;
  • выведение непрорезавшихся (ретинированных) зубов в зубную дугу.
Противопоказания к применению керамических брекет-систем:
  • некачественная гигиена полости рта;
  • невылеченный кариес;
  • наличие на зубах трещин и меловидных пятен;
  • пародонтоз;
  • периодонтит;
  • наличие искусственных коронок или множественных пломб;
  • тяжелые общесоматические заболевания (эндокринной системы, сосудов и сердца);
  • проблемы с центральной нервной системой;
  • аллергия на металлические элементы белых брекетов;
  • злоупотребление сахаросодержащими продуктами.

Как долго нужно носить керамические брекеты?

В зависимости от возраста пациента и тяжести патологии керамические брекеты носят от одного до трех лет. Лечение детей и подростков проходит намного быстрее, так как их зубочелюстная система еще формируется.
Однако надо иметь в виду, что после снятия брекетов наступает ретенционный этап лечения, который необходим для закрепления результата. Дело в том, что связочный аппарат каждого зуба обладает мышечной памятью, и после перемещения под воздействием керамических брекет-систем зубы снова стараются занять прежнюю позицию. Чтобы годы лечения не прошли даром, на внутреннюю сторону зубов устанавливается ретейнер – аппарат в виде металлической дуги.
Для пациентов старше двадцати пяти лет минимальный срок ношения ретейнера в два раза превышает период использования брекетов. Но есть и другой вариант – носить ретейнеры 4-5 лет, затем ставить на ночь пластинку или капу. В данном случае решение принимается вместе с врачом.

Виды керамических брекетов и брекет-систем

Клиника «Дока-Дент» предлагает пациентам две разновидности керамических брекетов в Москве:
  1. С лигатурами. Это классические конструкции, где пластинки прикреплены к дуге эластичными колечками или проволокой.
  2. Без лигатур. В этом случае белые брекеты снабжены фиксирующим механизмом в виде клипсы, который защелкивается и удерживает дугу. Такие системы стоят дороже стандартных. Но за счет меньшей силы трения лечение проходит быстрее, а значит, срок ношения аппарата сокращается.
Если вас заинтересовало исправление прикуса керамическими брекетами, запишитесь на консультацию к нашему ортодонту. Врач проведет диагностику, посоветует оптимальную систему исходя из ваших индивидуальных особенностей, составит план лечения и рассчитает его стоимость. Ориентировочные цены на керамические брекеты указаны в таблице.