Пульпит

Стоматология для беременных

Стоматология для беременных
Женщинам, планирующим беременность, рекомендуется заблаговременно заняться санацией полости рта. Это поможет избежать многих проблем с зубами в период вынашивания ребенка и после его рождения. Если же вы не смогли провести санацию заранее, не расстраивайтесь: посещение стоматолога во время беременности вполне возможно. Клиника Дока-Дент располагает средствами, необходимыми для безопасного и комфортного лечения зубов будущих матерей.

Как ухаживать за зубами в период беременности?

Во время беременности все правила гигиены полости рта нужно соблюдать еще более тщательно. Чистить зубы необходимо как минимум дважды в день, при этом хорошо, если состав пасты включает в себя экстракты лекарственных трав: они уничтожают бактерии и предотвращают развитие кариеса. После еды обязательно полощите рот, а чтобы удалять остатки пищи из межзубных промежутков пользуйтесь флоссом (зубной нитью).

Как лечат зубы во время беременности?

Лечение проводится под местным обезболиванием. При этом врач должен быть поставлен в известность о вашем положении: тогда он сможет подобрать абсолютно безопасный анестетик. Во время беременности можно лечить кариес и его осложнения, некариозные поражения зубов, болезни пародонта. Не запрещены гигиенические процедуры и простое удаление зубов. А вот сложные хирургические операции, имплантацию, панорамные снимки и отбеливание зубов при беременности делать нельзя.

На каком сроке лечить зубы наименее опасно?

Второй триместр — самый благоприятный период для лечения зубов. Но при острой необходимости можно посетить стоматолога и в первые недели беременности. Если существует угроза выкидыша, лечение проводить не следует. Рентген зубов не рекомендуется делать раньше двадцатой недели. Что касается ультразвуковой чистки зубов при беременности, то, в принципе, она не запрещена, однако на позднем сроке нежелательна.

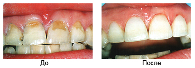
Стоматология для беременных: фото до и после

Безопасна ли для беременных анестезия?

В современной стоматологии существуют анестетики, которые специально разработаны для беременных женщин. Они не попадают в кровь будущей матери, а значит, никоим образом не навредят малышу. Такие обезболивающие средства обладают очень мягким действием, делая процесс лечения максимально комфортным.

Как при беременности лечат пульпит и периодонтит?

При помощи качественной современной анестезии такие неприятные заболевания, как пульпит и периодонтит, можно лечить без риска для плода. Мышьяк при ликвидации пульпита сегодня почти не используется — предпочтение отдается более щадящим препаратам. Так что при первых же признаках этих болезней обращайтесь к врачу и ничего не бойтесь.

Опасен ли рентген?

При беременности рентгенологическое исследование проводится при помощи визиографа. В отличие от обычной аппаратуры, это современное оборудование характеризуется очень малой дозой облучения. Визиограф безопасен для здоровья будущей мамы и плода, позволяя при этом получать снимки зубов высочайшего качества.

Возможно ли предупредить разрушение зубов после родов?

В принципе, да. Своевременное посещение стоматологического кабинета поможет сохранить зубы здоровыми. Беременность и роды — очень большая нагрузка для женского организма, в результате которой нередко страдают именно зубы. Эффективными профилактическими мерами являются удаление зубных отложений, восстановление минеральной структуры зубов, укрепление эмали.

Дорого ли лечить зубы при беременности?

Стоимость лечения зубов во время беременности зависит от конкретной ситуации — заболевания, степени его запущенности, общего состояния зубов, срока беременности и т.д. Примерные цены в клинике Дока-Дент указаны на данной странице. Однако детальный расчет сможет произвести только лечащий врач после осмотра.