Другие статьи

Адгезивные мостовидные протезы

Мостовидные зубные протезы
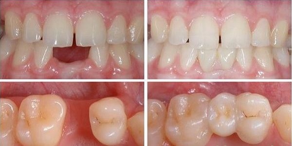
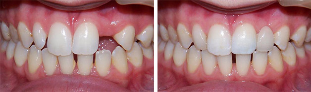
Одна из разновидностей несъемных ортопедических конструкций – адгезивный мостовидный протез. В отличие от классического моста, который фиксируется на опорных зубах с помощью коронок, в данном случае крепежи сделаны в виде лепестков, лапок или накладок. Таким образом, для установки протеза нет необходимости обтачивать здоровые зубы.
Методика адгезивного протезирования зубов позволяет замещать незначительные дефекты зубного ряда. Чаще всего это отсутствие одного зуба, в редких случаях двух, расположенных подряд.
Такие мосты делает либо непосредственно стоматолог-ортопед за одно посещение, либо зубной техник – в этом случае необходимо предварительно снять слепки, а вся реставрация требует двух визитов к врачу.

Адгезивные мостовидные протезы: фото до и после

Виды адгезивных мостовидных протезов

Адгезивные мостовидные протезы различаются по способу установки:
1. Фиксация без препарирования опорных зубов. По индивидуальному слепку техник изготавливает керамо-композитный или цельнокерамический протез с тонкими лепестками, которые должны обхватить опорные зубы сзади. За счет точного повторения их формы лепестки плотно прилегают к поверхности, а для надежности фиксации врач дополнительно укрепляет накладки стоматологическим бондом.
2. Установка адгезивного мостовидного протеза с формированием посадочных площадок на опорных зубах. Этот вариант предусматривает выпиливание на зубах прямоугольных углублений. Чаще всего их делают с внутренней стороны и на жевательных поверхностях. Опорные накладки погружаются в желобки и закрепляются композитным материалом.

Какой материал используют для адгезивных мостовидных протезов

При адгезивном протезировании зубов применяются такие материалы, как стекловолокно, композиты большой текучести (микро-и макронаполненные, двойного отверждения, химически и светоотверждаемые), пластмасса, прессованная керамика, высокопрочные нити и металлокерамика. Конструкция приклеивается к опорным зубам с помощью бонда (клея), который проникает и во внутреннюю структуру зубов, и в материал, из которого сделан протез.

Преимущества и недостатки адгезивного протезирования зубов

Адгезивное протезирование зубов имеет определенные преимущества:
  • Возможность быстро вернуть целостность зубному ряду.
  • Простота изготовления.
  • Минимальное воздействие на опорные зубы.
  • Безболезненность процедуры установки.
  • Невысокая стоимость. Цены на адгезивный мостовидный протез намного ниже, чем на другие виды восстановления зубов.
  • Возможность замены без повреждения соседних зубов.
  • Высокая эстетика. При использовании керамики или композитных материалов искусственные коронки выглядят как настоящие зубы, поскольку оттенок адгезивного мостовидного протеза подбирается под цвет натуральной эмали пациента.
При всех достоинствах у этой методики есть и недостатки:
  • Невысокая прочность и недолгий срок службы ортопедической конструкции. При щадящем использовании и регулярном уходе протез прослужит до трех лет. Поэтому этот вид протезирования применяется как временный.
  • Неполноценное восстановление утраченного зуба. Адгезивные мостовидные протезы устраняют косметический дефект, но не восстанавливают функции зуба, так как не приспособлены для больших нагрузок.
  • Атрофия челюстной кости в месте дефекта. Этот процесс вызван отсутствием нагрузки и в дальнейшем приводит к провисанию моста.
  • Быстрая потеря привлекательного вида. Композитные материалы, используемые при адгезивном протезировании зубов, за короткое время тускнеют, а примерно через год эксплуатации на них появляются царапины и сколы.