Другие статьи

Профилактическая стоматология

Профилактическая стоматология
Здоровье зубов напрямую связано с общим состоянием организма, поэтому профилактическая стоматология очень важна для благополучия человека. Ряд несложных мер позволит избежать необходимости лечения любых заболеваний и сохранить зубы на всю жизнь.
Основной упор в профилактике зубов делается на важности регулярных гигиенических процедур, направленных на предупреждение кариеса и прочих стоматологических болезней. Но для максимальной эффективности уход за полостью рта на дому должен обязательно сочетаться с визитами к врачу и консультациями специалистов.

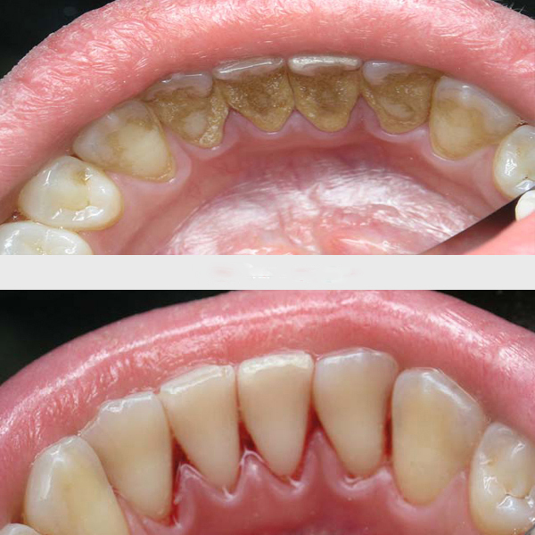
Профилактическая стоматология: фото до и после

Что является профилактикой в стоматологии

Основные профилактические мероприятия:

Укрепление зубов в Дока-Дент

В стоматологической клинике Дока-Дент профилактика зубов направлена, прежде всего, на укрепление эмали. Под воздействием различных негативных факторов поверхностный слой зуба может разрушаться, в результате чего он начинает болезненно реагировать на воздействия извне. Чтобы не допустить дальнейшее повреждение тканей, необходимо провести процедуры по укреплению зубов.
В нашей клинике с этой целью осуществляется фторирование. Насыщение эмали фтором благотворно сказывается на здоровье зубов: его активные вещества угнетают бактериальный обмен и многократно усиливают способность эмали противостоять разрушительному воздействию кислот. Для профилактики зубов используются фторсодержащие лаки и гели, которые наносятся на зубы аппликационным методом либо посредством капп.
Кроме того, пациентам клиники Дока-Дент предлагается процедура минерализации эмали препаратами, содержащими кальций, фтор и другие полезные вещества.
  • Поддержание гигиены ротовой полости. Самая главная мера по укреплению зубов – их тщательная чистка зубной щеткой и флоссом как минимум два раза в день для устранения налета. Если бактериальную пленку не удалять, налет будет накапливаться и постепенно превратится в зубной камень – плотную массу, содержащую патогенные микроорганизмы. Бактерии вырабатывают кислоты, которые провоцируют развитие кариеса и воспаления десен. В дополнение к щетке и пасте необходимо пользоваться ирригатором. С помощью водной струи он быстро отчищает поверхности зубов и межзубные промежутки, одновременно с этим массируя десны – это помогает их укрепить и улучшить кровообращение. Что касается зубной щетки, вместо обычной лучше использовать звуковую или ультразвуковую – она более эффективно справляется с налетом.
  • Важный момент профилактической стоматологии - реминерализация эмали. В домашних условиях можно применять зубные пасты или гели, содержащие кальций, фосфор и магний, а также использовать каппы со специальным средством для укрепления эмали.
  • Диета. Для здоровья зубов необходимо сбалансированное питание. Желательно употреблять меньше сахара и углеводов, так как это питательная среда для бактерий. Также для профилактики зубов нужно получать с пищей достаточно кальция – нехватка этого минерала приводит к заболеванию десен и ухудшению состояния челюстной кости.
  • Воздержание от курения. Эта привычка негативно влияет на состояние ротовой полости. Курение способствует образованию зубного налета и камня, портит цвет зубов, вызывает пародонтит и другие заболевания. Поэтому отказ от него – важный момент профилактики зубов.
  • Регулярное посещение стоматолога. Большинство болезней полости рта на начальном этапе не вызывает дискомфорта, поэтому человек может о них не подозревать. Чтобы заболевание не причинило ущерб, профилактическая стоматология рекомендует ходить к врачу каждые полгода, а при наличии высокого риска развития патологического состояния – чаще. Особенно важен контроль роста зубов у детей.
  • Профессиональная гигиена ротовой полости. Данная процедура направлена на удаление пигментированного налета и твердых отложений, от которых невозможно избавиться самостоятельно. В профилактической стоматологии для этой цели применяются ультразвуковой скалер и аппарат Air Flow.
  • Решение ортодонтических проблем. Неправильный прикус не только затрудняет прием пищи, гигиену и речь, но и влияет на состояние полости рта: аномалии смыкания челюстей приводят к перегрузке зубов, их повышенному истиранию, пародонтозу и заболеваниям нижнечелюстных суставов.
  • Рентгеновская диагностика. Ее проведение в профилактической стоматологии позволяет врачу вовремя обнаружить признаки заболеваний, которые еще не видны невооруженным глазом.
  • Запечатывание фиссур. Эта мера применяется к детям – зубная эмаль у них очень тонкая, и кариес развивается стремительно. Покрытие жевательных поверхностей тонким слоем композита позволяет предупредить раннее разрушение зубов.