Другие статьи

Коронка на жевательные зубы

Коронки
На этот отдел зубочелюстной системы приходится максимальная нагрузка, поэтому коронки на жевательные зубы обязательно подбираются с учетом этого фактора. Данный вид протезирования может понадобиться, если зубы сильно пострадали от кариеса или утрачены.
Существуют разные виды коронок, и перед тем как порекомендовать тот или иной из них, врачу нужно определить, насколько прочны стенки зуба, чтобы выдержать установку протеза.

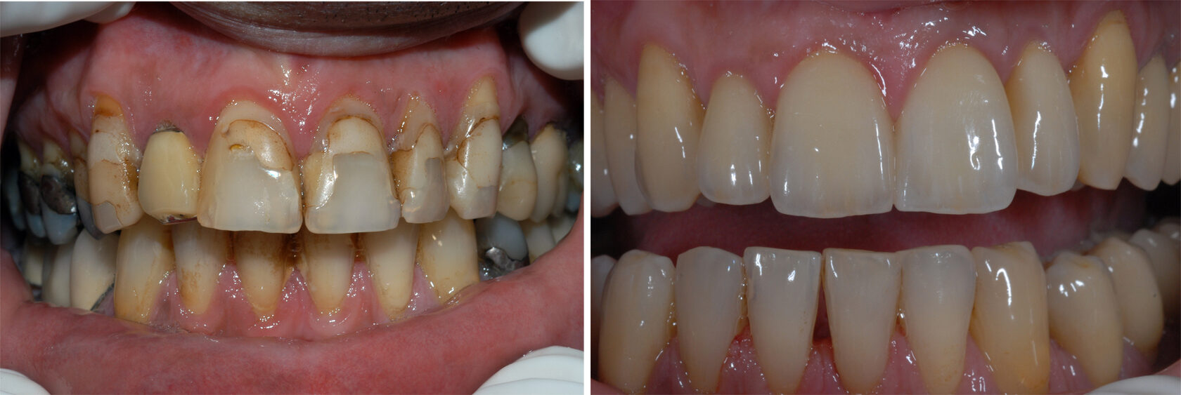
Коронка на жевательные зубы: фото до и после

Виды коронок на жевательные зубы

В стоматологии устанавливают следующие виды коронок на жевательные зубы:
  • одиночные;
  • одиночные с консолью;
  • соединенные в блок;
  • коронки для бюгельного протезирования.
По методу изготовления коронка на жевательный зуб бывает штампованной (это относится к протезам из металла) и цельнолитой.

Какой материал используют для коронок на жевательные зубы

Для коронок на жевательные зубы применяют:
  • Пластик. Коронка на жевательный зуб может быть сделана из пластмассы. Обширная цветовая гамма современных полимеров позволяет подобрать практически любой оттенок. Используется как временный вариант на период изготовления постоянных протезов.
  • Металлопластмасса. Такие коронки представляют собой двухслойную конструкцию: каркас создается из металла, а покрытие из пластмассы. Также используется в качестве временного варианта.
  • Керамика. Для изготовления керамических коронок на жевательные зубы используется стоматологический фарфор. Он может применяться как в чистом виде, так и в сочетании диоксидом циркония. Во втором случае удается добиться не только высокой эстетичности, но и максимальной прочности протезов.
  • Металлокерамика. Изделия имеют литой металлический каркас и керамическую облицовку. Такие коронки на жевательные зубы не только прочны, но и эстетичны.

Преимущества и недостатки коронок на жевательные зубы

Преимущества и недостатки коронки на жевательный зуб определяются свойствами материала, из которого она изготовлена.
Протезы из пластика и металлопластмассы по внешнему виду похожи на настоящие зубы, однако они восприимчивы к пищевым красителям, из-за чего быстро теряют привлекательность. Поэтому пластиковую коронку на жевательный зуб не используют для постоянного ношения.
Хороший вариант для протезирования задних зубов – металлокерамика. Ее цвет можно подобрать в соответствии с оттенком натуральных зубов пациента. Минус металлокерамической коронки на жевательный зуб – это необходимость сошлифовывания достаточно большого объема тканей, кроме того она могут способствовать преждевременному изнашиванию зуба-антагониста.
По эстетическим качествам вне конкуренции керамика. Но это весьма хрупкий материал, поэтому на жевательные зубы надежнее установить не цельнокерамическую, а циркониевую коронку.

Критерии качества

Коронка на жевательный зуб должна в точности соответствовать его анатомической форме, хорошо прилегать к стенкам и не вызывать дискомфорта. Качественно изготовленный протез полностью восстанавливает жевательную функцию зуба.