Другие статьи

Виниры

Виниры
Чтобы приблизить улыбку пациентов к голливудским стандартам современная стоматология применяет виниры — керамические или композитные микропротезы, замещающие внешний слой зубов. Они позволяют скорректировать форму и цвет зуба, придать ему эстетичный вид, а также увеличить его прочность. Такие пластинки можно установить как на отдельные зубы, так и на целую группу передних зубов — десять верхних и восемь нижних.
В отличие от коронок, стоматологические виниры покрывают не всю поверхность зуба, а лишь его переднюю часть и режущий край. Их толщина составляет не более 0,7 мм, а значит, в сравнении с теми же коронками, установка подобных накладок требует гораздо меньшей обточки зуба — снимается лишь небольшой слой эмали.
Установить виниры в Москве вы сможете в клиниках Дока-Дент на Юго-Западной и Белорусской. Наши профессионалы сделают вашу улыбку по-настоящему безупречной и неотразимой.

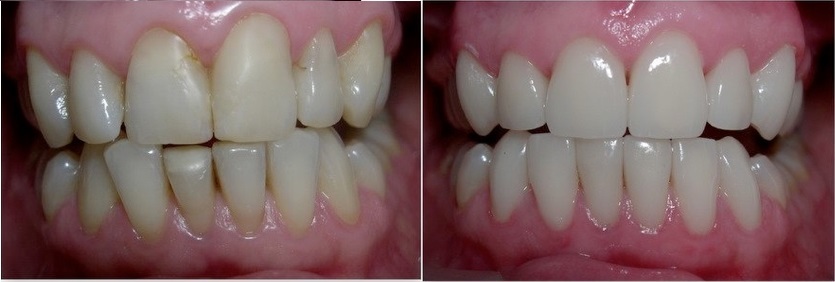
Виниры: фото до и после

Виды виниров на зубы

Виниры на зубы бывают керамическими и композитными. У каждой из этих разновидностей есть свои плюсы, однако существуют и отдельные недостатки.
Керамические накладки изготавливаются в зуботехнической лаборатории. Главное их преимущество — высокая эстетичность. Стоматологический фарфор с идеальной точностью имитирует эмаль зубов в плане светоотражения и прозрачности. Кроме того, этот материал не вызывает аллергии и не вступает в какие-либо химические реакции.
А вот стоимость виниров из керамики можно считать их относительным недостатком — она довольно высока. Другой существенный минус данного метода состоит в том, что установив пластинки на зубы один раз, придется носить их в дальнейшем всю жизнь, поскольку зубная эмаль не может регенерировать.
Срок службы виниров из стоматологического фарфора достаточно высок: при правильной эксплуатации они прослужат не менее десяти лет.
Что касается композитных накладок из светоотверждаемого пломбировочного материала, то основным их достоинством можно назвать быстроту выполнения процедур: установка осуществляется за одно посещение стоматолога. Кроме того, использование этого метода практически не требует обточки зубов: их поверхность лишь немного шлифуется. Еще одним бесспорным плюсом является умеренная цена — недорогие виниры из композита доступны широкому кругу пациентов.
Минусы тоже имеются. Прежде всего, недостаточно точное прилегание пластинок к поверхности зубов, что повышает риск развития кариеса. Они достаточно хрупки, в результате чего срок службы виниров из композита редко превышает три-четыре года. В плане эстетики они также уступают керамическим аналогам, к тому же, со временем могут немного поменять первоначальный цвет.

Этапы изготовления зубных виниров

Зубные виниры могут быть изготовлены прямым и непрямым способами.
Прямой метод используется при установке композитных накладок. Их изготовление производится непосредственно в полости рта пациента. С помощью специальных образцов врач подбирает цвет пломбировочного материала. Затем поверхность зуба (или зубов) незначительно шлифуется, после чего на нее в несколько слоев наносится материал. Композитные зубные виниры образуют монолитное соединение с тканями зуба.
При непрямом способе накладки изготавливаются зубным техником. После обточки внешней поверхности зубов с них снимаются слепки, которые затем отправляются в лабораторию. Там делаются гипсовые модели зубов пациента, на которых в дальнейшем производятся керамические стоматологические виниры — либо прессованием материала при высоких температурах, либо послойным нанесением фарфоровой массы на пластину.

Показания и противопоказания

Виниры в стоматологии используются при следующих дефектах:
  • неправильная форма зубов;
  • диастемы (межзубные промежутки);
  • сколы режущего края;
  • микротрещины;
  • изменения цвета эмали (флюорозные пятна, потемнения);
  • старые пломбы, заметно отличающиеся оттенком от натурального цвета зуба;
  • незначительные неровности зубного ряда, которые можно исправить без ношения ортодонтических аппаратов.
Список общих противопоказаний для установки виниров на зубы включает в себя следующие факторы:
  • патологическая стираемость эмали;
  • подвижность зубов;
  • серьезные дефекты эмали;
  • сильное разрушение задней поверхности зубов;
  • повышенный риск получения травм (занятия экстремальными и контактными видами спорта — например, боксом);
  • наличие больших пломб на внутренней стороне зубов.
Есть и относительные ограничения на использование виниров в стоматологии, такие, как бруксизм, аномальный прикус, заболевания зубов и десен в стадии обострения. После устранения этих проблем данную технологию можно будет использовать.

Процесс установки виниров на зубы

Установка композитных виниров на зубы полностью совпадает с процессом их изготовления. После снятия небольшого слоя эмали и послойного нанесения на поверхность зубов светоотверждаемого пломбировочного материала накладки шлифуются и полируются.
Что касается керамических зубных виниров, то на время их изготовления в лаборатории на обточенные зубы пациента устанавливаются временные конструкции. На втором приеме стоматолог делает примерку и подгонку пластинок, и если результат соответствует всем требованиям и ожиданиям, фиксирует их с помощью стоматологического клея. В завершении процесса производится финишная обработка накладок.
Желающие поставить себе виниры в Москве могут заполнить на сайте несложную онлайн-форму и записаться на консультацию к одному из специалистов клиники Дока-Дент. Учитывая конкретную клиническую картину, а также пожелания и финансовые возможности пациента, врач порекомендует оптимальный вариант. Стоимость виниров указана в таблице.