Другие статьи

Брекеты Damon

Брекеты
Брекет система Damon представляет собой разновидность безлигатурной конструкции. Лигатура – это особый элемент, резиновое кольцо или проволока, которая, будучи зафиксированной на зубе, не позволяет ему вернуться в исходное положение.
Самолигирующие брекеты Damon действуют принципиально иначе, оказывая пассивное воздействие на зубы, так что весь период лечения проходит гораздо комфортнее, безболезненнее и короче.

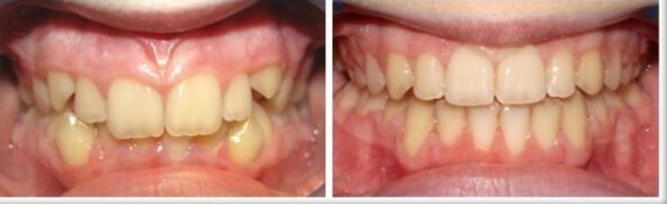
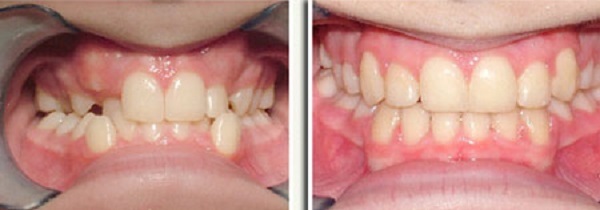
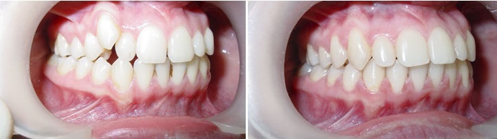
Брекеты Damon: фото до и после

В нашей клинике устанавливают три вида этой системы: брекеты Damon Clear, Damon q и Damon 3.

Отличия Damon Q, Damon Clear и Damon 3

  • Брекеты Damon Clear делаются из поликристаллического оксида алюминия. Его главные характеристики – это прочность и стойкость к окрашиванию пищевыми пигментами (кофе, чаем, темными ягодами). Особенностью этой системы является прозрачность не только замочки, но и сама силовая дуга. Благодаря этому брекеты Damon Clear практически не заметны на зубах, в отличие от многих сапфировых ортодонтических аппаратов с металлической дугой. По завершении лечения этой системой на поверхности зубов не остается пятен. А благодаря скругленным контурам пластинок у пациента отсутствует ощущение дискомфорта, ведь брекеты Damon Clear не ранят губ, десен и щек. Человек намного быстрее к ним привыкает. К тому же, основание замочков проходит обработку лазерным протравливанием, что повышает силу его сцепления с эмалью зубов, обеспечивая надежность крепления, а также способствует более легкому съему Damon Clear по завершении курса лечения.
  • Damon Q представляют собой металлические брекеты. Они миниатюрны (их высота всего 2 мм), при этом они самые прочные из всей линейки. Если вам важно сочетание эстетики и функциональной нагрузки, эти Damon Q – идеальное решение. Особенностью данной системы является SpinTek - инновационный механизм крышки, который значительно упрощает смену дуг. Для открывания крышки требуется минимальное поворотное усилие, направленное только на замок, а не на зуб, что делает процесс замены дуги в брекетах Damon Q комфортной для пациента.
  • Damon 3 представляют собой комбинацию материалов: современного пластика, металла и керамики. Простой в использовании механизм защелки обеспечивает легкость замены дуги. Скругленные края и сверхгладкие контуры делают эксплуатацию этой системы максимально комфортной. А высокоретенционное основание гарантирует прочную и надежную фиксацию пластинок.
Отличаются все три вида между собой и временем разработки. Самые первые в линейке – это Damon 3. Появившись первыми на рынке ортодонтических услуг, они совершили революцию. До этого об эстетичности в отношении брекетов и речи быть не могло.
Вторыми стали Damon Q. Они выигрывают у предшественника в размерах – гораздо меньше, выполнены с применением самых высоких технологий, в результате чего фиксация брекетов, замена дуг во время посещения врача занимает считанные минуты и проходит максимально комфортно.
Брекеты Damon Clear стали третьими и в каком-то смысле продуктом не только ортодонтического мастерства, но и искусства. Это самые привлекательные из всего «семейства», при этом сохранившие все характеристики прочности и удобства установки предшественников.

Преимущества брекет-систем Damon

Какой бы вид вы ни выбрали, система Damon гарантирует:
  • Гигиеничность. Нет лигатуры – нет ничего, что бы мешало проводить тщательную гигиену полости рта. В результате вас ждет меньше проблем с пародонтом. Кроме того, пластины замочков отполированы до блеска, и словно отталкивают кусочки пищи от себя. Что опять же отлично сказывается на состоянии полости рта в целом.
  • Простота. Замена дуг и изменение натяжения в кабинете у врача – вопрос 10 минут.
  • Скорость. Первые результаты лечения вы увидите уже по истечении пары месяцев.
  • Нейтральность. Материал, из которого изготовлены брекеты, будь то металлические Damon q или их керамические «коллеги», не вызывает аллергии, не изменяет вкус пиши и напитков, не вступает во взаимодействие со слюной.
Словом, у них нет недостатков. Однако следует помнить, что брекеты Damon – это вид статических систем для исправления прикуса, поэтому с их помощью можно исправить эстетику только верхних зубов.

Стоимость брекетов Damon в Москве

Что касается стоимости, конечно, как любой самый современный, высокотехнологичный, безопасный и надежный продукт, эти брекеты недешевы. Самолигирующие брекеты Damon Q и 3 схожи по цене. А если вы хотите провести ортодонтическое лечение, максимально сохранив эстетику зоны улыбки, рекомендуем выбрать аппарат, в котором составные элементы сделаны из прозрачного материала. Однако учтите, что исправление прикуса брекет-системой Damon Clear обойдется дороже.
Позвоните нам сегодня, и мы расскажем вам о действующих скидках и специальных предложениях.