Другие статьи
Лечение зубов под микроскопом

Лечение зубов под микроскопом

В сети семейных стоматологических клиник Дока-Дент при необходимости во время лечения используется микроскоп. Применение увеличительной техники дает стоматологу следующие преимущества:
  • хорошее освещение осматриваемой поверхности, отсутствие теней;
  • получение четкого объемного изображения исследуемой полости;
  • возможность установить точное расположение каналов;
  • тщательно очистить полости от остатков тканей и стоматологического материала.

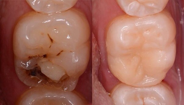
Лечение зубов под микроскопом: фото до и после

Лечение зубов под микроскопом позволяет провести грамотную диагностику. Использование оптики дает возможность сократить количество рентгеновских исследований. При осмотре под микроскопом врач имеет возможность различать ткани по цвету, структуре и степени прозрачности. Получение объемного изображения позволяет точно установить, на какой глубине находится исследуемый объект.
Лечение под микроскопом – это возможность для врача осуществлять постоянный контроль хода лечения, оно избавляет пациента от необходимости проходить промежуточное рентгеновское обследование. Иногда весь процесс лечения требует применения увеличительной техники. Благодаря этому врач может с минимальными повреждениями раскрыть полости, грамотно их обработать, промыть, запломбировать. Использование микроскопа и других современных технологий не являются альтернативой профессионализму врачей.
Использование в медицине современной техники дает свои результаты, если она находится в руках опытного врача, хорошо знающего свое дело. Только при стечении этих факторов возможно качественное стоматологическое лечение, позволяющее избежать осложнений и максимально сохранить зуб.
Оптика используется и в других областях стоматологии: хирургии, протезировании, при установке имплантатов. Она позволяет врачу выявить наличие трещин, установить плотность прилегания коронок. Это несколько повышает стоимость лечения. Но Вы будете застрахованы от возможных ошибок. Немаловажно и то, что применение увеличительной оптики сокращает сроки лечения.
Применение микроскопа не доставляет неудобств пациенту. Оптика располагается перед его лицом. Больной практически лежит в удобном кресле, стоматолог сидит сзади, за его головой. Нужный участок освещается с помощью миниатюрного световода, а врач направляет нужное изображение в объектив с помощью стоматологического зеркала. Врач имеет возможность хорошо рассмотреть изображение в объективы или вывести его на экран.