Другие статьи

Ортодонтия

Ортодонтия
Чаще всего ортодонтия ассоциируется с детской стоматологией. Действительно, посещение специалиста этого профиля – обязательно для детей дошкольного возраста, ведь именно сейчас могут появиться нарушения прикуса, которые необходимо как можно быстрее исправить. Но и взрослые нередко обращаются к ортодонту для решения проблем, связанных с возрастными изменениями – повреждениями пародонта и потерей зубов.

Что такое ортодонтия

Ортодонтия занимается диагностикой, лечением и профилактикой зубочелюстных аномалий. Основная деятельность этого раздела стоматологии - исправление врожденных нарушений в жевательно-речевом аппарате, это:
  • скученность зубов;
  • аномалии положения зубов;
  • неправильный прикус.
Такие приобретенные дефекты как сколы твердых зубных тканей, переломы зуба и т.п. ортодонтия в стоматологии не лечит.

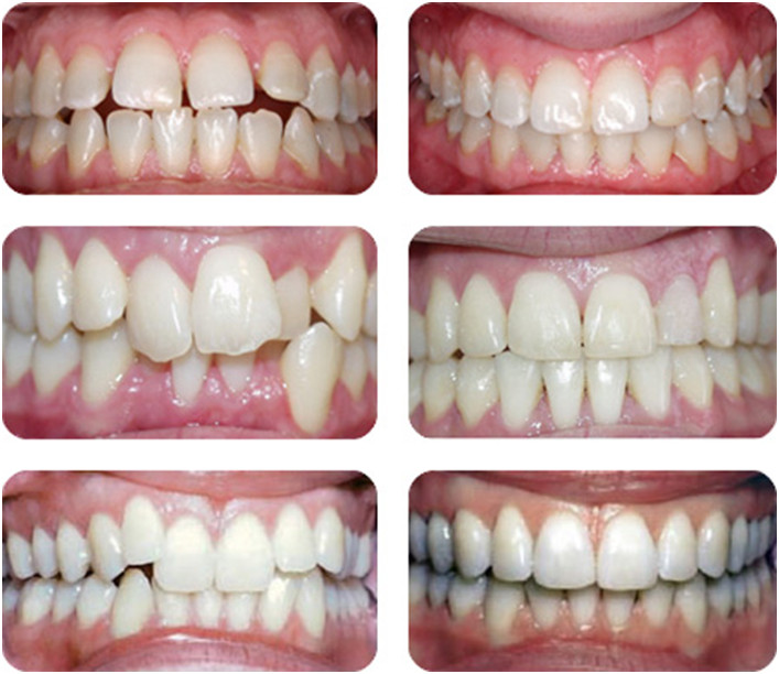
Ортодонтия: фото до и после

Противопоказания к ортодонтическому лечению

Ортодонтия в стоматологии имеет абсолютные противопоказания:
  • декомпенсированная сердечная недостаточность;
  • иммунные заболевания;
  • болезни костной системы;
  • эндокринные заболевания;
  • болезни крови;
  • злокачественные опухоли;
  • СПИД и венерические заболевания;
  • туберкулез.
Относительные противопоказания к ортодонтическому лечению:
  • пародонтит;
  • некачественная гигиена полости рта;
  • предраковые заболевания ротовой полости;
  • болезни височно-нижнечелюстного сустава;
  • наличие у пациента металлических имплантатов других органов;
  • бруксизм (скрежетание во сне зубами).

Виды ортодонтического лечения

Ортодонтическое лечение использует несколько методов:
  • Миотерапия. Это гимнастика для нормализации функций жевательных или мимических мышц. Данный метод терапии очень эффективен в детском возрасте, когда проблемы еще только появились. У взрослых он может применяться как профилактика после полного излечения аномалий полости рта.
  • Аппаратное ортодонтическое лечение. Проводится в детском и взрослом возрасте. Суть методики – перераспределение нагрузки на челюстную систему и коррекция ее функциональности. С этой целью применяются брекет-системы из разных материалов, позволяющие решить ряд проблем без хирургического вмешательства.
  • Хирургическое лечение. Если долго откладывать поход к стоматологу, в итоге может возникнуть ситуация, когда придется прибегать к оперативному вмешательству: удалению зубов, чтобы освободить пространство для роста новых, удалению части костной ткани и т.д.

Критерии качества работы ортодонта

Ортодонтия в Москве в «Дока-Дент» – это услуги самого высокого качества, главным показателем которого является стабильный результат лечения. Добиться успеха нам помогают:
  • отличная оснащенность клиники;
  • мастерство и опыт специалистов-ортодонтов;
  • возможность осуществить точную диагностику;
  • эффективные и комфортные в использовании аппараты.

Стоимость ортодонтии в Москве в нашей клинике

Стоимость услуг ортодонта в Москве можно посмотреть в таблице или уточнить у администратора клиники. Однако имейте в виду, что в этой сфере окончательная сумма лечения складывается из множества факторов (особенности используемой аппаратуры, сложность случая, длительность терапии и т.д.), поэтому необходима очная консультация специалиста. Записать на прием можно на сайте и по телефону.