Другие статьи

Радикулярная киста зуба

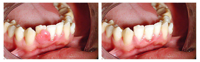
Киста зуба
Если около корня образовалась капсула с жидкостью, это радикулярная киста зуба. Пациент с такой патологией может не предъявлять никаких жалоб. Неприятные ощущения возникают при нагноении содержимого полости или ее прорастании в гайморову пазуху. Долгое существование радикулярной кисты приводит к деформированию костной ткани и увеличению риска перелома челюсти.
Эта разновидность кистозных заболеваний является самой распространенной в стоматологии. Причем, на верхней челюсти новообразования появляются чаще, чем на нижней. А основная причина развития патологии – наличие инфекции. Формирование капсулы из соединительной ткани – ответная реакция организма, пытающегося изолировать очаг воспаления.
В большинстве случаев радикулярные кисты зуба появляются у пациентов с запущенным кариесом, пульпитом, периодонтитом, а также после неграмотного стоматологического вмешательства. Воспалительный процесс может начаться и в результате травмы зуба, при снижении иммунитета, после перенесенного инфекционного заболевания. Кистозные полости иногда вырастают при осложненном прорезывании зубов мудрости или неправильном прикусе.

Радикулярная киста зуба - симптомы

Длительный период радикулярная киста зуба прогрессирует абсолютно бессимптомно или сопровождается малозначительными признаками, на которые человек обычно не обращает внимания. Симптоматика ярко проявляется при нагноении полости. А спровоцировать это явление могут удар по зубу, неудачное стоматологическое лечение, гайморит и т. д.
Сначала воспаляются стенки радикулярной кисты зуба, затем ее содержимое превращается в гной. Пациент жалуется на болевые ощущения в области причинного зуба, лихорадку, озноб, недомогание (симптомы интоксикации).
Отсутствие надлежащего лечения приводит к образованию свища, развитию остеомиелита челюсти или возникновению очень опасного осложнения - флегмоны.

Лечение радикулярной киста зуба

Радикулярную кисту зуба можно лечить консервативно, однако чаще всего приходится прибегать к хирургическим методам:
  • Цистотомия. Врач формирует в десне отверстие и вскрывает кистозную капсулу. Далее проводится ревизия тканей и удаление некротизированных участков. Затем полость промывается и заполняется тампоном с лекарством. Раз в несколько дней тампон меняется. Лечение продолжается до полного выздоровления.
  • Цистэктомия. Радикулярная киста зуба удаляется путем отделения ее оболочки от прилегающих костных тканей либо вместе с частью пораженного корня. В образовавшееся пространство вводится специальный костеобразующий препарат.
  • Гемисекция. Новообразование иссекается вместе с корнем и частью зубной коронки. Операция проводится только на многокорневых зубах.
Радикулярная киста зуба – серьезное заболевание, и чтобы своевременно его диагностировать, важно регулярно посещать стоматолога, например, в круглосуточной клинике «Дока-Дент».