Пульпит

Пульпит молочных зубов

Детская стоматология
Такая стоматологическая проблема, как пульпит у детей, диагностируется гораздо чаще, чем у взрослых. Причина этого кроется в несовершенном строении молочных моляров, лишенных минерализованных тканей. У малышей и корневая и десневая система рыхлая, что позволяет инфекциям без препятствий проникать в глубокие слои дентина.

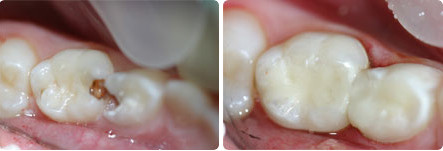
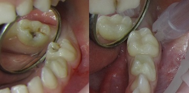
Пульпит молочных зубов: фото до и после

Опасность, которую влечет за собой пульпит молочных зубов, кроется в его бессимптомном протекании, зачастую приводящем к более серьезным воспалительным процессам ротовой полости. Заболевание возникает в любом возрасте на фоне кариеса, механической травмы. Стоматологами подмечено, что практически любой удар зуба ведет к воспалению пульпы, зачастую приобретающему хроническую форму. Одной из распространенных причин, вызывающих пульпит молочного зуба, являются компоненты газированных напитков — химические вещества, регулирующие их кислотность.

Лечение пульпита молочных зубов у детей

Коварность пульпита молочных зубов заключается в скрытом течении процесса. Ребенок не испытывает никаких болевых ощущений, в то время как активно идет распад пульпы. Поэтому стоматологи сети клиник «Дока-Дент» настоятельно рекомендуют организовывать профилактические осмотры малыша с периодичностью раз в полгода. Такие посещения помогут выявить начальную стадию кариеса, приводящего к более серьезным повреждениям зубной ткани. Если же потребуется лечение пульпита молочного зуба, врач определит стадию развития патологического процесса, проведет групповую идентификацию больных тканей и назначит методику лечения.
Детская стоматология в сети клиник «Дока-Дент» располагает следующими технологиями лечения пульпита молочных зубов:
  • консервативное лечение, предполагающее сохранение жизнеспособности всех участков пульпы;
  • незначительное хирургическое вмешательство по удалению коронковой части пульпы с последующей стабилизацией функций и формирования корневой ткани;
  • тотальное удаление пораженной пульпы с последующей дезинфекцией каналов и их пломбированием.
Как известно, абсолютное большинство детей испытывает страх перед стоматологическими манипуляциями. Практика врачей сети клиник «Дока-Дент» основана на оказании услуг, максимально щадящих психологическое состояние маленьких пациентов.
Для снятия тревожности и эмоциональной напряженности здесь используется терапевтическая премедикация средствами, обладающими легким седативным действием и показанными к применению в детском возрасте. Профессиональное лечение пульпита у детей в одной из клиник «Дока-Дент» поможет сохранить зубы вашего ребенка здоровыми и красивыми.