Другие статьи

Увеличение объема кости

Имплантация зубов
Для успешной имплантации требуется определенное количество костной ткани, и если его недостаточно, необходимо увеличение объема кости. Невыполнение этого условия приводит к ускоренной атрофии костных стенок, опусканию уровня десны, подвижности импланта и обнажению его металлической части.

Что такое увеличение объема кости

Это методика, подразумевающая введение остеопластического материала в участки с дефицитом костной ткани. В результате такой операции создается надежная опора для имплантов, способных без проблем выдержать жевательную нагрузку. Кроме того, в клинике «Дока-Дент» (Москва) данная методика применяется при заболеваниях пародонта с целью сохранить и укрепить зубы. Ее стоимость в том или ином случае уточняется у лечащего врача.

Увеличение объема кости методом расщепления альвеолярного гребня

Хирург распиливает костную ткань альвеолярного гребня и заполняет внутреннюю часть искусственным материалом, в который можно сразу внедрить импланты. Сверху прикрепляется барьерная мембрана (эластичная пленка для удержания материала в правильном положении), и десна ушивается. Через три-шесть месяцев, после полного приживления конструкции возможно дальнейшее протезирование.

Увеличение объема кости методом костной аутотрансплантации

Увеличение объема кости происходит при помощи собственной костной ткани пациента. Сначала из подбородка или области нижних зубов мудрости выпиливается костный блок. Затем на участке пересадки отслаивается лоскут десны, трансплантат прикручивается к костной ткани металлическими винтами, а пустые места вокруг него заполняются костной крошкой. Заключительный этап – установка мембраны и наложение швов.

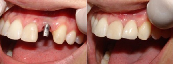
Увеличение объема кости: фото до и после

Рекомендации пациентам после увеличения объема кости

  • Первые часы после операции может наблюдаться небольшое кровотечение. Это нормально. Если кровь долго не останавливается, обратитесь к врачу.
  • Для уменьшения отека и боли принимайте рекомендованные стоматологом анальгетики.
  • В течение нескольких дней после увеличения объема кости нельзя пережевывать пищу на оперированном участке и пить через соломинку. Еда и напитки должны быть прохладными.
  • Спать желательно на спине или противоположной стороне.
  • В первую неделю после операции откажитесь от курения, употребления алкоголя, посещения бани (сауны), принятия горячих ванн и занятий спортом. Избегайте переохлаждения.
На все вопросы об операции по наращиванию кости вам ответят специалисты клиники «Дока-Дент». Посмотреть цены можно в прайс-листе, а записаться на прием - на сайте или по телефону. Врач проведет диагностику и определит точную стоимость лечения.