Пульпит

Отбеливание зубов при беременности

Стоматология для беременных
На вопрос, разрешается ли делать отбеливание зубов при беременности, в стоматологии нет однозначного ответа. С одной стороны, непосредственного риска для ребенка эта процедура не несет. Но есть вероятность, что она отразится на зубах будущей мамы не лучшим образом.

Есть ли опасность в отбеливании зубов при беременности

Организм беременной женщины перестраивается. В результате гормонального дисбаланса и дефицита витаминов часто появляются проблемы с зубами:
  • истончение эмали;
  • повышенная чувствительность зубов;
  • кариес;
  • воспаление, кровоточивость десен.
Из-за отечности, рыхлости десен и ослаблении эмали отбеливание зубов при беременности химическими веществами может причинить серьезный дискомфорт. После процедуры зубы начинают болеть при контакте с холодным, горячим, кислым, возрастает риск развития кариеса.
Кроме того, если женщина случайно проглотит препарат для отбеливания зубов, при беременности это чревато попаданием вредных компонентов к плоду. Поэтому в клинике «Дока-Дент» в Москве агрессивные методики не применяются.

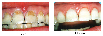
Отбеливание зубов при беременности: фото до и после

Безвредное отбеливание зубов при беременности

Единственным доступным вариантом отбеливания зубов при беременности является профессиональная чистка зубов. В ходе этой процедуры с эмали удаляются налет и камень, после чего зубы приобретают естественный цвет без малейшего риска для здоровья.
Мягкие зубные отложения без труда снимаются при помощи специальных паст и циркулярных щеточек. Пигментированный налет, образующийся у любительниц чая и кофе, убирается посредством аппарата Air Flow, который подает на зубы струю смеси воды с мелкодисперсным чистящим порошком. Также для отбеливания зубов при беременности может применяться ультразвук: особый инструмент (скалер) измельчает зубной камень под деснами, на видимых поверхностях и между зубами.
Если вас интересует безопасное отбеливание зубов при беременности или появились неприятные симптомы, требующие лечения, приходите в клинику «Дока-Дент».