Пульпит

Ультразвуковая чистка зубов при беременности

Стоматология для беременных
Одна из процедур клиники «Дока-Дент» – ультразвуковая чистка зубов при беременности. В этот период из-за изменения уровня гормонов сильно возрастает риск развития кариеса и заболеваний десен, которые требуют неотложного лечения. Чтобы предупредить нежелательные симптомы, нужно тщательно ухаживать за зубами и регулярно посещать стоматологию для качественной профессиональной гигиены.

В чем плюсы ультразвуковой чистки зубов при беременности

Удалить налет и камень с зубов можно механическим и химическим способами. Но в первом случае могут быть травмированы десны, а во втором агрессивное воздействие оказывают химические составы. Поэтому женщинам в положении нежелательно их применять.
У метода ультразвуковой чистки зубов при беременности есть очевидные преимущества:
  • отсутствует риск повреждения десен;
  • с зубов полностью удаляются отложения;
  • эмали возвращается естественный цвет (она становится светлее на пару тонов).
Ультразвуковая чистка зубов при беременности выполняется при помощи стоматологического скалера. На поверхность зуба аппарат излучает ультразвук заданной частоты и амплитуды колебаний, который измельчает зубной камень. Обычно анестезия не требуется. Но при повышенной чувствительности зубов могут появиться неприятные ощущения. В таких случаях перед проведением ультразвуковой чистки зубов при беременности пациенткам наших клиник делается местное обезболивание.

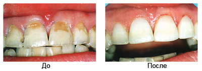
Ультразвуковая чистка зубов при беременности: фото до и после

Ультразвуковая чистка зубов при беременности – когда ее делать нельзя

Обычно ультразвуковая чистка зубов при беременности не выполняется, есть у пациентки:
  • сахарный диабет;
  • злокачественные новообразования;
  • ОРВИ и другие инфекционные болезни;
  • астма, хронический бронхит;
  • нарушения носового дыхания;
  • эпилепсия;
  • имплантирован кардиостимулятор до 2001 года выпуска.
Подробнее узнать о противопоказаниях и прочих нюансах ультразвуковой чистки зубов при беременности можно на консультации в клинике «Дока-Дент» в Москве.