Пульпит

Гингивит у детей

Детская стоматология
Чаще всего гингивит у детей появляется в школьном возрасте. Десны легко воспаляются в период ускоренного роста тканей и гормональной перестройки в организме. Но и малыши нередко страдают от этой болезни. Воспалениям у грудничка способствуют:
  • слабый иммунитет;
  • недостаток полезной микрофлоры во рту;
  • травмирование десен растущими зубками.
Дополнительный фактор риска гингивита у детей – короткая уздечка губы. Из-за такой аномалии в полости рта скапливается налет, в котором размножаются микробы. В раннем возрасте в большинстве случаев уздечка губы растягивается сама. Но если этого не произошло до двух лет, нужна профессиональная помощь врача.
Нелеченное воспаление десен опасно своими осложнениями. Если оно перейдет в стадию глубокого поражения тканей пародонта, ребенок может преждевременно потерять зубы.

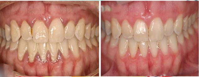
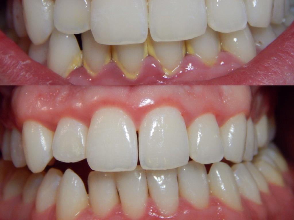
Гингивит у детей: фото до и после

Гингивит детский – симптомы и лечение

При диагностировании гингивита у детей лечение различается в зависимости от его формы. Самая легкая – катаральная. Ее симптомы – покраснение, края десен, образование зубных отложений, зуд и жжение. В сильно запущенных случаях на деснах появляются болезненные кровоточащие язвы, выделяется гной, а зубы обнажаются или, наоборот, скрываются под опухшими тканями.
Как лечат гингивит у детей, знает только стоматолог, поэтому при первых симптомах надо срочно обратиться в клинику. Терапия включает:
  • профессиональную гигиену;
  • применение противовоспалительных и обезболивающих средств;
  • прием антибиотиков по показаниям;
  • восстановление микрофлоры пробиотиками.
При необходимости некротические или отечные десневые ткани удаляются.

Что делать после лечения гингивита у детей

Чтобы избежать рецидива гингивита детского, нужно:
  • хорошо чистить зубы;
  • правильно выбрать зубную пасту;
  • употреблять меньше легкоусвояемых углеводов;
  • избегать перекусываний.
С любыми вопросами по поводу гингивита в Москве можно обратиться в стоматологию «Дока-Дент», а отзывы, фото до и после лечения есть на нашем сайте.