Пульпит

Кариес у ребенка в 2 года

Детская стоматология
При плохом уходе зубы начинают разрушаться сразу после прорезывания, но обычно обнаруживается кариес у ребенка в 2 года. Кроме погрешностей в гигиене есть и другие причины его появления:
  • дисфункции организма на первом году жизни;
  • вскармливание искусственными смесями, содержащими сахар;
  • употребление на ночь сладких напитков;
  • дефицит кальция и витамина Д.

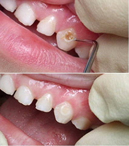
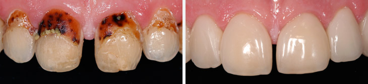
Кариес у ребенка в 2 года: фото до и после

Симптомы кариеса у ребенка в 2 года

Чаще всего говорят о так называемом бутылочном кариесе у ребенка в 1 год и чуть старше. Его отличительными признаками являются:
  • локализация на передних зубах;
  • расположение по окружности зуба, в основном, в пришеечной области;
  • появление желто-коричневых или черно-коричневых пятен;
  • полости (дырки) на зубах;
  • повышение чувствительности к раздражителям: зубы болят от горячего, холодного, сладкого и кислого.
Посмотрите, как выглядит кариес у детей до 2 лет на фото на нашем сайте.

Как лечат кариес у ребенка в 2 года

Кариес у ребенка в 1,5 года, 2 и старше требует срочного профессионального лечения, ведь процесс разрушения зубов развивается молниеносно.
Осложнениями запущенной болезни могут быть:
  • пульпит;
  • кариес постоянных зубов;
  • периодонтит;
  • преждевременная потеря зубов.
Как лечить кариес у детей 2 лет, врач решает индивидуально. В современной стоматологии есть разные методики. Это может быть:
  • серебрение;
  • реминерализация эмали;
  • препарирование полости с последующим пломбированием
и т.д.
Для консультации стоматолога и лечения кариеса у ребенка в Москве обращайтесь в клинику «Дока-Дент». Отзывы пациентов и форма для записи есть на сайте. Также можно связаться с клиникой по телефону или оставить заявку на обратный звонок.