Другие статьи

Шишка на десне у ребенка

Воспаление десен у ребенка
Иногда родители замечают, что появилась шишка на десне у ребенка. Это патологическое образование, которое требует обязательного лечения в стоматологии. Например, можно записаться в клинику «Дока-Дент» в Москве.

Почему появляется шишка на десне у ребенка

Формирование нароста на десне у ребенка могут спровоцировать:
  • запущенная стадия кариеса;
  • воспаление тканей десны;
  • механическая травма челюсти;
  • прорезывание зубов.
Самой частой причиной образования «прыщика» на десне у ребенка является именно кариозное инфицирование. При отсутствии профессионального лечения есть риск нагноения возле верхушки корня. Гной требует выхода наружу и начинает собираться под слизистой оболочкой около больного зуба. Так образуется киста (флюс), которая похожа на белую точку на десне у ребенка.
У грудничков и малышей второго года жизни тоже могут появиться «кисты», но белые шишки на десне у ребенка такого возраста связаны с прорезыванием зубов. Они возникают нечасто, но могут сильно беспокоить кроху, пока зубы полностью не вылезут.

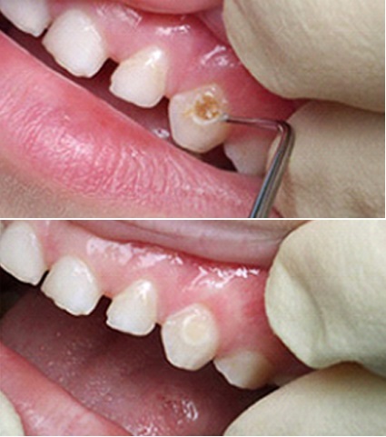
Шишка на десне у ребенка: фото до и после

Лечение шишки на десне у ребенка

При появлении кисты или язвочки на десне у малыша нужно срочно обратиться к врачу. Тактика лечения выбирается на основе причины патологии:
  • Флюс. При гнойном воспалении молочного зуба важно предотвратить инфицирование постоянного. Поэтому временный зуб, в основном, удаляют. Если флюс появился на постоянном зубе, врач смотрит на степень его разрушения. Иногда зуб можно сохранить.
  • Прорезывание зубов. В этой ситуации, если стали белыми десны у ребенка, вмешательства обычно не требуется. Но родителям, все же, надо показать малыша стоматологу, чтобы убедиться в отсутствии болезней полости рта.
  • Травма. Если после падения или травматизации твердым предметом появилась гематома или белое пятно на десне ребенка, следите за его самочувствием. Если малыш жалуется на боль, а пострадавший участок сильно распух, надо обязательно обратиться к врачу.
Обнаружив подозрительный «прыщик» на десне, родители не должны:
  • пытаться его вскрывать;
  • давать ребенку какие-либо медикаменты без назначения врача;
  • прекращать ежедневные гигиенические процедуры;
  • полоскать ребенку рот горячими отварами трав;
  • прикладывать к десне горячие компрессы.
Чтобы записаться в клинику «Дока-Дент», заполните заявку на сайте и дождитесь звонка администратора или сами созвонитесь с интересующим вас филиалом в Москве.