Пульпит

Лечение молочных зубов

Детская стоматология
Согласно статистике, кариес встречается у 90% людей, в том числе дети, которым часто требуется лечение молочных зубов.
Кариеса вряд ли удастся избежать, если:
  • плохо соблюдается гигиена полости рта;
  • в питании ребенка преобладают легкоусвояемые углеводы (они есть в печенье, конфетах, сушках, булочках и другой подобной пище);
  • ребенок пьет много сладких напитков – соков, лимонада, компотов, бутилированного чая.

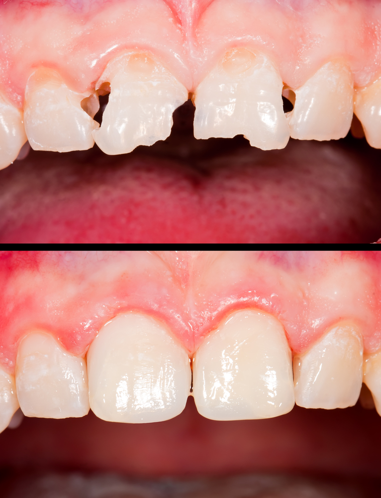
Лечение молочных зубов: фото до и после

На то, что пора отправиться в стоматологию для лечения молочных зубов у детей, указывают несколько признаков:
  • пятна за эмали - белые, желтые, коричневые, черные;
  • дырки на зубах;
  • неприятный запах изо рта;
  • зуб болит от холодного, горячего, сладкого и т.д.

Так ли необходимо лечение молочных зубов

Многие родители сомневаются, что нужно лечить молочные зубы, ведь они сами выпадут. На самом деле это необходимо:
  • Кариозный зуб - источник хронической инфекции независимо от того, временный он или постоянный.
  • Кариес и его осложнения могут вызвать болевые ощущения – от незначительного дискомфорта во время еды до продолжительных ночных приступов.
  • Временный зуб тоже имеет «нерв» (пульпу), которая воспаляется, если отсутствует лечение. И тогда еще сильнее болят молочные зубы, а вам все равно придется обратиться к врачу.
  • Под (либо над) молочным зубом развивается зуб постоянный, и есть риск, что бактерии перейдут на его зачаток.
  • Если от лечения зубов у детей (даже у грудничков) отказаться, с большой долей вероятности их придется удалить, что отрицательно скажется на развитии прикуса.
При первых подозрениях на стоматологическое заболевание, не раздумывайте, надо ли лечить молочный зуб, а срочно записывайтесь в клинику.

Методы лечения молочных зубов

Как лечить молочный зуб, в том или ином случае врач решает индивидуально. Когда кариес обнаружен в стадии пятна, от него можно избавиться без сверления. Процесс стабилизируют курсы глубокого фторирования. Также иногда применяется технология Icon, которая предусматривает запечатывание пор эмалевого слоя специальным препаратом. Если на зубе уже появились повреждения, не обойтись без сверления и пломбирования молочных зубов – фото до и после лечения есть на нашем сайте.
Остались вопросы или нужна консультация специалиста? Ждем вас в стоматологии «Дока-Дент» в Москве!