Пульпит

Кариес зубов у детей

Детская стоматология
Предупредить кариес зубов у детей помогает регулярный уход сразу после их появления. Но многие родители об этом не знают, а плохая гигиена способствует размножению кариесогенных бактерий. Если вы обнаружили изменения цвета, пятнышки, дырочки или у ребенка начал болеть зуб, срочно обратитесь в стоматологию, ведь особенность кариеса у детей в том, что он развивается молниеносно.

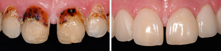
Кариес зубов у детей: фото до и после

Лечение кариеса у детей

Как именно лечить кариес молочных зубов у ребенка, врач решает в зависимости от симптомов и стадии заболевания. В клинике «Дока-Дент» в Москве применяются разные методики:
  1. Глубокое фторирование. На зубы наносятся фторсодержащие препараты, которые проникают внутрь зубных тканей и оказывают укрепляющее действие. Эта процедура эффективна только при начальном кариесе у детей - на фото можно увидеть результат до и после фторирования при заболевании в стадии пятна.
  2. Icon (Infiltration Concept). Инфильтрация – это запечатывание пор деминерализованной эмали специальными препаратами с целью предупреждения ее дальнейшего разрушения. Icon чаще всего используется при работе с подростками, к примеру, после снятия брекетов. Но для и лечения кариеса у детей данная технология отлично подходит при своевременном диагностировании болезни, свидетельство этому - отзывы пациентов.
  3. Препарирование зуба и постановка пломбы. Зуб очищают от инфицированных тканей традиционным способом при помощи бормашины либо водно-абразивной струей, если дырка очень маленькая. Также в арсенале стоматологии «Дока-Дент» есть особые растворы для удаления поврежденной эмали или дентина. Завершающий этап лечения кариеса молочных зубов и постоянных – пломбирование дефекта фотополимерным материалом либо современным стеклоиономерным цементом.

Как предупредить кариес зубов у детей

В профилактике кариеса у детей нет ничего сложного. Достаточно следовать нескольким правилам:
  • стараться не злоупотреблять сладкими напитками и продуктами;
  • обязательно чистить зубы по утрам и перед сном;
  • после вечерней чистки грудничку и ребенку постарше не давать ничего кушать, а если поели, надо не забыть снова почистить зубы;
  • подобрать «правильные» щетку и пасту (здесь лучше посоветоваться с врачом);
  • два раза в год приходить в клинику для осмотра и профессиональной гигиены.
С любыми вопросами о детском кариесе можно обратиться в клинику «Дока-Дент».