Несмотря на достижения современной стоматологической хирургии, иногда приходится выполнять удаление зуба с кистой. К этой операции прибегают в следующих случаях:
- Необходимо устранить источник инфекции, если киста распространилась на всю прикорневую зону.
- Киста переросла в абсцесс. В данной ситуации есть опасность попадания инфекции в кровь. И если коренной зуб еще можно спасти, удаления переднего зуба с кистой не избежать.
- Новообразование появилось на ретинированном (неправильно расположенном) зубе мудрости.
Как удаляют зуб с кистой
Отличие удаления зуба с кистой от обычной экстракции органа из альвеолы в том, что довольно много времени стоматолог затрачивает на устранение инфекции. Сначала из полости убирается весь гной, затем она обрабатывается обеззараживающим средством. После процедуры помимо самой лунки в мягких тканях остается большая пустота, и чтобы избежать возобновления инфекции пациенту необходимо несколько раз посетить стоматолога для контроля процесса.
Удаление зуба при кисте может быть простым и сложным. В первом случае процедура включает в себя несколько этапов:
- анестезия;
- отделение десны от шейки зуба;
- наложение на зуб щипцов;
- продвижение щипцов, смыкание и фиксация щечек;
- вывихивание зуба из лунки – при удалении переднего зуба с кистой делают поворот, при экстракции заднего – качание;
- извлечение зуба из альвеолы;
- удаление кисты;
- обработка полости лекарственным препаратом;
- ушивание раны.
Сложное удаление зуба с кистой выполняется, если коронка сильно разрушена, зуб не прорезался или прорезался неправильно. Часто подобная процедура предполагает его извлечение по частям. При этом для доступа к зубу хирург должен сначала рассечь мягкие ткани, после чего орган распиливается на секции.
Определенные трудности представляет удаление зуба и кисты, после ранее проведенного лечения резорцин-формалиновым методом. Данная технология приводит к тому, что со временем ткани зуба становятся очень хрупкими и начинают крошиться. Чтобы этого избежать, применяется не обычный инструмент, а бормашина. Если удаление зуба при кисте проводилось на фоне воспаления, после операции пациент принимает антибиотики.
В некоторых случаях не обязательно полностью избавляться от больного зуба. Если новообразование имеет небольшие размеры, достаточно отделить пораженную часть. С этой целью проводится гемисекция: с помощью бормашины зуб распиливается пополам, после чего одна половина извлекается без вреда для второй. Такая процедура выполняется только на зубах с несколькими корнями, удаление переднего зуба с кистой осуществляется целиком.
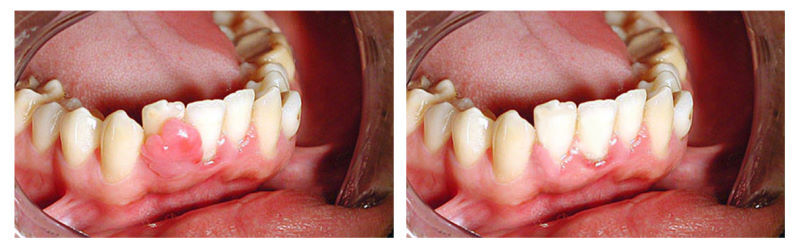
Удаление зуба с кистой: фото до и после
Больно ли удалять зуб с кистой
Удаление зуба и кисты проводится под анестезией, поэтому боли пациент не испытывает. Чаще всего применяется местное обезболивание посредством укола в десну. Этот вид анестезии действует длительное время после завершения операции, что является преимуществом: человек дольше не чувствует боли. А после прекращения действия препарата можно принять любое обезболивающее средство.
Иногда удаление зуба при кисте выполняется под общим наркозом. Для этого есть несколько причин:
- у пациента слишком низкий болевой порог;
- необходимо провести сразу несколько стоматологических операций;
- пациент панически боится любого вмешательства;
- сильный рвотный рефлекс.
Только в этих случаях специалист может согласиться делать операцию под наркозом. В остальных ситуациях для удаления зуба и кисты он не требуется.
В состояние наркоза пациента вводят при помощи специальной маски или посредством укола. Общий наркоз действует на всю нервную систему, выключая не только боль, но и все рефлексы и чувства.