Оптимальный возраст для лечения детскими брекетами – 12-13 лет. До этого момента неокрепшие зубы могут не выдержать серьезной нагрузки, что чревато нарушением формирования корневой системы и даже их потерей.
Также для начала ортодонтического лечения важно дождаться, пока прорежутся вторые моляры. Они формируются позже остальных (потом, в 18-25 лет могут вырасти только зубы мудрости). Пренебрежение данным правилом и установка детских брекетов до прорезывания вторых моляров в дальнейшем сведет лечение на нет, так как зубы могут вырасти криво.
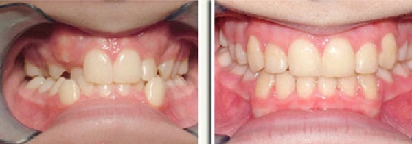
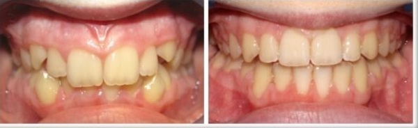
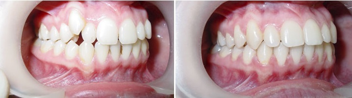
Брекеты для детей: фото до и после
Показания и противопоказания к установке брекетов для детей
Детские брекеты рекомендуется использовать в следующих случаях:
- неправильный прикус;
- широкие межзубные промежутки;
- скученность зубов;
- заметная разница в развитии челюстей;
- дисфункция в жевательной области.
А противопоказаниями к установке брекетов для детей являются:
- плохая гигиена полости рта;
- нелеченный кариес;
- воспаление десен;
- патологии костных тканей;
- психические расстройства;
- болезни крови;
- некоторые сердечнососудистые заболевания;
- туберкулез;
- эндокринные и иммунные нарушения;
- онкологические болезни.
Как долго нужно носить детские брекеты?
В юном возрасте человеческие зубы более податливы, поэтому брекеты для детей исправляют аномалии довольно быстро. Минимальный срок ношения ортодонтического аппарата один год. Но, несмотря на то, что коррекция прикуса – весьма длительный процесс, первые результаты заметны уже через месяц. А за три месяца ношения детских брекетов зубы, как правило, встают на свои места и прикус в значительной степени выравнивается.
Вслед за основным курсом лечения следует период закрепления результатов, когда ребенку устанавливают ретейнер. Это приспособление в виде проволоки крепится на внутренней стороне зубов. Обычно дети носят ретейнер столько же времени, сколько носили брекет-систему.
Виды детских брекетов и их особенности
По типу размещения брекеты для детей бывают:
- Вестибулярные. Такие аппараты располагаются на наружной стороне зубов.
- Лингвальные. Устройства фиксируются изнутри зубного ряда и совершенно незаметны для окружающих.
По типу крепления дуги системы делятся на:
- Лигатурные. Классический вариант, где дуга удерживается в пазах пластинок при помощи лигатур - эластичных колечек или проволочек. В брекетах для детей лигатуры можно сделать цветными, и тогда ортодонтический аппарат превратится в забавное украшение для зубов, а смена цветов резиночек внесет разнообразие в лечебный процесс.
- Самолигирующие. В таких системах нет лигатур. Конструкция пластинок оснащена особыми замочками-клипсами, которые защелкиваются и не позволяют дуге выйти из паза.
По используемым материалам детские брекеты бывают:
- Пластиковые. Изделия отличаются разнообразной палитрой цветов – их можно подобрать под естественный оттенок зубов или, наоборот, остановиться на ярком креативном варианте. Однако пластинки из пластика довольно хрупкие и могут сломаться, поэтому требуют бережного обращения.
- Металлические. Самые прочные и надежные брекеты для детей. Их применение позволяет не только исправить серьезные аномалии, но и сократить сроки лечения.
- Керамические и сапфировые. Эстетичные, но весьма дорогие аппараты, поэтому нечасто применяются в детской ортодонтии.
Стоимость установки брекетов для детей в Москве в нашей стоматологии
Чтобы определить, нужны ли ребенку деткие брекеты, запишитесь на прием к ортодонту. Доктор проведет диагностику и определит, как лучше исправить аномалию. Расценки клиники «Дока-Дент» вы найдете в таблице, а точная стоимость брекетов для детей выяснится после составления плана лечения.