Другие статьи

Безлигатурные брекеты

Брекеты
В обычных брекет-системах для закрепления металлической дуги на пластинках применяются лигатуры (эластичные кольца) и тонкие проволочки, а в безлигатурных брекетах этих вспомогательных элементов нет. В таких ортодонтических устройствах силовая дуга удерживается благодаря особой конструкции замочков, оснащенных задвижкой или пружинящей клипсой. Таким образом, дуга не блокируется и продвигается в пазах без сопротивления.
В самолигирующих брекетах зубы смещаются под воздействием малых усилий и физиологических сил организма — это делает процесс коррекции прикуса более естественным. А в традиционных приспособлениях, где предусмотрена плотная фиксация дуги к замкам посредством лигатур, для перемещения зубов в нужном направлении необходимо преодолеть серьезные силы трения и приложить большие усилия.
Безлигатурные брекеты различаются в зависимости от материала и бывают:
  • Металлические. Конструкции из металла (медицинской стали, золота, серебра) — наиболее эффективный вариант. С их помощью можно исправить самые сложные аномалии челюсти. Являясь наиболее прочными, металлические безлигатурные брекеты имеют наименьший коэффициент трения, но у них есть существенный недостаток – они очень заметны во рту.
  • Керамические. Ортодонтические аппараты из керамики выглядят более эстетично, поскольку их пластинки изготавливаются с учетом оттенка натуральных зубов. Они также достаточно прочны и характеризуются небольшим коэффициентом трения. Однако безлигатурные керамические брекеты отличаются более высокой стоимостью.
  • Сапфировые. Такие ортодонтические системы имеют прозрачные пластинки, практически незаметные на фоне зубов. Синтетические монокристаллические сапфиры отличаются высокой прочностью, гигиеничностью и устойчивостью к пищевым красителям. Самолигирующие брекеты из искусственных сапфиров так же имеют высокую стоимость.

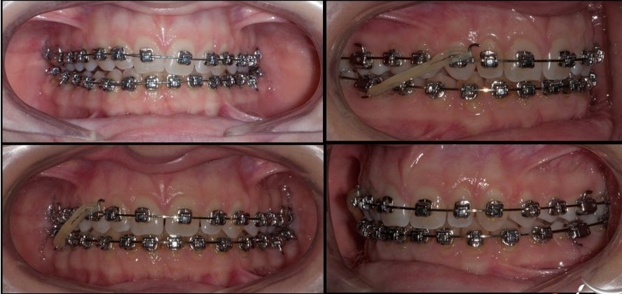
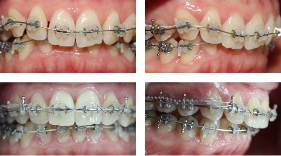
Безлигатурные брекеты: фото до и после

Преимущества самолигирующих брекетов

Помимо того, что безлигатурные брекеты обеспечивают менее травматичное продвижение зубов, у них есть и другие достоинства:
  • Устанавливать и снимать такую систему проще и быстрее, чем лигатурную.
  • За счет слабого давления болевые ощущения снижены по максимуму, а зубы и ткани пародонта быстро адаптируются к действию ортодонтического аппарата.
  • Минимальное трение сокращает период исправления прикуса, то есть, используя самолигирующую брекет-систему, можно быстрее достичь нужного результата.
  • Благодаря отсутствию сложных лигатурных креплений замена силовой дуги занимает гораздо меньше времени, кроме того, с таким аппаратом не требуется часто посещать врача — достаточно приходить на коррекцию к ортодонту раз в два-три месяца.
  • Отсутствие лишних деталей упрощает гигиенический уход за конструкцией и полостью рта, что уменьшает вероятность возникновения кариеса.
  • Самолигирующиеся брекеты не раздражают слизистые оболочки и могут рекомендоваться пациентам с заболеваниями пародонта.
  • При коррекции подобными системами не требуется удалять здоровые зубы, которые при использовании обычных брекетов мешали бы выравниванию зубного ряда.
  • У аппаратов данного типа более эстетичный внешний вид — фиксаторы силовых дуг выглядят привлекательнее, чем резиновые колечки или металлические проволочки, особенно если это безлигатурные керамические брекеты.

Установка самолигирующих брекетов

Прежде чем установить самолигирующую брекет-систему, ортодонт должен убедиться в отсутствии у пациента противопоказаний. Они могут быть относительными и абсолютными.
Относительные противопоказания — это:
  • Аллергическая реакция на материал. В этом случае стоматолог может порекомендовать особые материалы, которые не вызовут раздражения тканей полости рта.
  • Наличие имплантатов и зубных протезов из металла — они могут вступать в электролитическую реакцию с любыми, в том числе, самолигирующимися брекетами. Этого можно избежать при правильном подборе химического состава металлических деталей аппарата.
  • Заболевания височно-челюстного сустава. Прежде чем приступать к коррекции прикуса, необходимо провести их лечение.
  • Бруксизм (скрежетание зубами во время сна).
  • Психические заболевания. Нездоровый человек может повредить саморегулирующие брекеты и пораниться обломками, кроме того, ношение брекет-системы предполагает четкое соблюдение предписаний врача, что в такой ситуации выполнить трудно.
Абсолютные противопоказания к установке ортодонтического аппарата встречаются реже относительных. Это:
  • отсутствие большого количества зубов;
  • некоторые сердечнососудистые болезни;
  • туберкулез;
  • иммунные заболевания;
  • онкология;
  • патологии костей;
  • эпилепсия;
  • диабет;
  • СПИД и венерические заболевания.
Если противопоказаний не обнаружено, врач совместно с пациентом выбирает, какими именно — керамическими или металлическими безлигатурными брекетами будет проводиться коррекция.

Стоимость безлигатурных брекетов в Москве

Из-за сложной конструкции самолигирующиеся брекеты стоят дороже, чем традиционные. Однако если учесть все их положительные свойства, становится очевидным, что в некоторых случаях лучше не экономить. С ценами стоматологических клиник «Дока-Дент» можно ознакомиться в таблице или прайс-листе. А чтобы записаться на прием к ортодонту и обсудить нюансы установки саморегулирующих брекетов, позвоните нам или заполните онлайн-заявку.