Другие статьи

Лингвальные брекеты

Брекеты
Ортодонтическое лечение лингвальными брекетами чаще всего выбирают люди публичных профессий или занимающие высокую должность, которые не могут позволить себе даже минимальных изменений во внешности на весьма продолжительный срок. Функция и предназначение подобных систем точно такие же, как у вестибулярных аппаратов, а по эстетическим показателям равных им нет.
Лингвальные брекеты – идеальный компромисс между качественным и профессиональным лечением неправильного прикуса и сохранности тайны этого лечения. Другими словами, лингвальные брекет-системы идеально подходят тем людям, для которых внешность и безупречность улыбки имеют преобладающее значение, при этом не в ущерб своему здоровью.

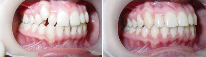
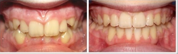
Лингвальные брекеты: фото до и после

Они получили свое название от латинского слова lingua, потому что устанавливаются эти брекеты на внутреннюю сторону зубов, то есть там, где в ротовой полости расположен язык. Отсюда и второе их название – невидимые брекеты.

Лингвальные брекеты – прочно и надежно

Внутренние брекеты производят из металла. Это в разы увеличивает прочность готовой конструкции, срок службы, а также облегчает работу врача-ортодонта. Установка лингвальных брекетов проходит быстрее, требуя минимальных временных затрат как со стороны специалиста, так и со стороны пациента.
Продолжительность лечения лингвальными брекетами определяется врачом, так же как и частота повторных визитов. В среднем процесс длится не больше полутора лет. Никаких трудностей в привыкании и эксплуатации невидимые брекеты не вызывают. На начальных порах возможны незначительные изменения дикции. Но органы речи очень быстро адаптируются к изменениям, и уже через пару недель все приходит в норму.
Еще одно достоинство лингвальных брекетов в том, что, поскольку они устанавливаются на невидимую для посторонних глаз внутреннюю сторону челюсти, процесс исправления будет проходить гораздо быстрее и очевиднее. Первые результаты вы сможете отметить уже через несколько месяцев.
При разработке невидимых брекетов производители старались решить сразу две задачи: сделать процесс лечения и выздоровления пациента незаметным для окружающих и, второе, расширить возможности ортодонтических методов. То есть сделать лечение брекетами возможным и доступным тем категориям людей, которым оно по каким-то причинам было противопоказано.
Например, для случаев глубокого прикуса или такого осложнения, как нарушение минерализации зубов, именно лингвальные брекеты – единственно возможное и эффективное решение.

Преимущества лингвальных брекетов

Помимо незаметности и способности исправить самые сложные аномалии прикуса, у брекетов с внутренней стороны есть и другие преимущества:
  • Они не соприкасаются с деснами, губами, и щеками, поэтому, в отличие от традиционных систем, не могут нанести травмы мягким тканям ротовой полости.
  • На задней поверхности зубов эмаль более устойчива к кариесу, и длительное ношение лингвальных брекетов практически ее не повреждает.
  • В вестибулярных ортодонтических аппаратах во время еды часто застревают частички пищи, что выглядит не очень красиво. Такое может произойти с внутренними системами, но так как они скрыты от посторонних глаз, это будет не видно окружающим.
  • Лингвальные брекеты могут быть изготовлены из золота, а оно, как известно, является гипоаллергенным металлом. Таким образом носить их могут даже аллергики.
  • При создании этих аппаратов учитываются даже самые незначительные физиологические показатели челюсти и зубного ряда пациента, благодаря чему лечение невидимыми брекетами особенно эффективно.
  • Исправление прикуса с помощью таких систем дает возможность использовать их сегментарно. То есть, коррекцию можно провести как для зубного ряда в целом, так и для отдельно взятых групп зубов.
  • Невидимые брекеты не меняют контура губ и профиля пациента.

Установка лингвальных брекетов

Хотя процедура закрепления разных типов несъемных конструкций одинаковая, установка лингвальных брекетов считается более сложным процессом.
Прежде всего, пациент проходит обязательный подготовительный этап, который заключается в избавлении от кариеса и других заболеваний полости рта, удалении зубного камня и фторировании.
Ожидаемый результат лечения моделируется и рассчитывается с помощью компьютерных технологий. Они позволяют создать виртуальный образ зубочелюстной системы, а также брекетов на внутреннюю сторону, которые подгоняются под модель зубных рядов с ювелирной точностью.
Данные для компьютерного моделирования можно получить на основании сделанного врачом слепка челюстей. Он помогает выполнить расчеты и создать восковую модель, которая служит прототипом при изготовлении ортодонтического устройства.
Лингвальные брекет-системы устанавливаются непрямым методом. Сначала всю конструкцию прикрепляют к гипсовой модели, и лишь после этого она особым образом переносится в полость рта пациента, где окончательно фиксируется с помощью специального клея.
Есть ортодонтические аппараты, например, Инкогнито, которые поставляются в пластиковых капах. Прямо в них на внутренние брекеты наносится клеящий состав, после чего капы плотно прижимаются к зубам и держатся так некоторое время. Когда фиксатор затвердеет, капы аккуратно снимаются, и врач удаляет с зубов излишки материала. Заключительный этап - соединение брекетов с внутренней стороны силовой дугой.

Стоимость лингвальных брекетов в Москве

Особенности изготовления и установки делают этот вид брекет-системы несколько дороже традиционных и знакомых.
Конечная цена лечения с использованием внутренних брекетов складывается из нескольких пунктов:
  • стоимость самого ортодонтического аппарата для коррекции прикуса;
  • первичная консультация врача – специалист оценивает проблему зубов, определяет, какие брекеты лучше поставить и сколько времени примерно их надо будет носить;
  • исследовательская работа – проведение рентгенографической диагностики, изготовление слепков зубов и моделей челюстей;
  • установка лингвальной брекет-системы;
  • снятие ортодонтического аппарата;
  • изготовление и установка ретейнера – особой металлической конструкции, без которого завершение лечения невозможно.
Каждый из этих пунктов необходим для успешного исправления прикуса, и отказаться от какого-либо из них нельзя.
Чтобы подсчитать конечную стоимость, определить, подходит ли вам лечение при помощи лингвальных брекетов, а также получить точную диагностику, мы приглашаем вас к нам в клинику Дока-Дент. Опытные врачи и самые современные технологии – вот что ждет каждого обратившегося к нам за помощью.