Протезирование зубов

Препарирование зубов

Протезирование зубов
Для качественной установки и долгого срока службы коронки необходимо предварительно выполнить препарирование зубов. Эта процедура предполагает сошлифовывание определенного количества эмали и дентина с целью:
  • создания условий для прочной фиксации протеза на зубе;
  • создания для коронки протезного пространства;
  • обеспечения правильности взаимоотношения края коронки и пародонта.
Поскольку препарирование под металлокерамическую коронку или протез из другого материала – необратимый процесс, он должен проводиться очень тщательно. Точное соблюдение геометрии обточки значительно увеличивает долговечность ортопедической конструкции и обеспечивает ее биосовместимость с окружающими тканями.
Препарирование зубов под коронки может выполняться с анестезией и без. Обезболивание необходимо, если обрабатываются живые зубы. Для депульпированных оно обычно не требуется, исключение составляют случаи, когда необходимо отделить десну от зуба – это довольно болезненная манипуляция.
Обточка зубов под металлокерамику состоит из нескольких этапов:
  • создание на поверхности зуба пазов;
  • препарирование с наружной и внутренней стороны;
  • удаление тканей с режущей или жевательной стороны;
  • шлифование контактных поверхностей;
  • ретракция (оттягивание) десны от зуба;
  • формирование уступа;
  • финишная обработка.
Процесс препарирования зубов под штампованные коронки схож с обработкой зуба для цельнолитой металлической коронки. Отличие лишь в форме культи и в отсутствии необходимости в первом случае делать уступ.
Препарирование под литую коронку требует формирования уступа шириной 0,5-1,0 мм. Он нужен для улучшения эстетических показателей, ретенционных (т.е. удерживающих) свойств, а так же как ориентир для зубного техника.
То же самое делается при выполнении препарирования под пластмассовую коронку, протезы из керамики и диоксида циркония.

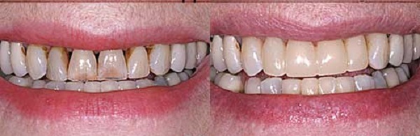
Препарирование зубов: фото до и после

Виды препарирования зубов

Препарирование зубов под металлокерамику может различаться типами уступов:
  • Уступ-плечо. Этот вариант рекомендуется для получения наиболее эстетичного результата. При установке коронки металл здесь полностью скрыт керамикой.
  • Плечо со скосом. Скос при таком варианте обточки перекрывается металлом, что обеспечивает более плотное прилегание коронки к зубу.
  • Закругленный уступ со скосом. Данный вид препарирования под металлокерамику также предполагает перекрытие скоса металлом. При перекрытии фарфором увеличивается наружный слой коронки, а это может привести к давлению на десну.
  • Удлиненный закругленный скат. Этот вариант обточки универсален и подходит не только для металлокерамики, но и применяется в ходе препарирования под цельнолитую коронку из металла, а также для установки изделий из фарфора.
Уступы могут быть сделаны над десной, вровень с десной или ниже ее уровня.

Противопоказания к препарированию зубов под металлокерамику

Противопоказания к обработке зубов под металлокерамику связаны с запретами на применение протезов из этого материала.
Их установка абсолютно противопоказана в следующих случаях:
  • протезирование зубов с живым нервом у детей и подростков;
  • бруксизм (непроизвольное скрежетание зубами во время сна);
  • тонкие стенки опорных зубов.
Относительные противопоказания:
  • повышенная стираемость зубных тканей;
  • мелкие, низкие или плоские коронки зубов (есть опасность расцементировки – чтобы этого избежать, в результате препарирования зуба под литую коронку или металлокерамику стенки зуба должны получиться параллельными или с минимальным наклоном);
  • неправильный прикус с глубоким резцовым перекрытием;
  • тяжелые формы пародонтита;
  • парафункции жевательных мышц.

Преимущества и недостатки препарирования зубов под металлокерамическую коронку

В процессе обточки часть тканей сошлифовывается, в результате чего зуб приобретает правильную геометрическую форму для фиксации ортодонтической конструкции. Кроме того, такая подготовка способствует тому, что в дальнейшем коронка не будет восприниматься как инородное тело и не создаст дискомфорта при разговоре и приеме пищи.
Минус препаровки зубов под металлокерамику – то, что надо снять достаточно много тканей - 0,4-0,6 мм для металлического каркаса и 0,8-1,3 для фарфоровой облицовки.