Другие статьи

Воспаление десен у ребенка

Воспаление десен у ребенка
Одна из проблем, с которыми часто сталкиваются родители – воспаление десен у ребенка. Как правило, оно связано с повышенной восприимчивостью пародонта и недостаточной гигиеной ротовой полости. Больше всего болеют дети среднего школьного возраста из-за гормональной перестройки в организме.
Но и у грудничков такое тоже случается – воспалению десен у ребенка до двух лет способствуют травмирование мягких тканей прорезающимися зубами, слабый иммунитет и недостаток во рту полезной микрофлоры.

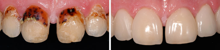
Воспаление десен у ребенка: фото до и после

Как лечат воспаление десен у детей

В стоматологии выбор тактики лечения воспаленных десен у ребенка зависит от заболевания и его стадии. Легче всего справиться с катаральным гингивитом, симптомы которого - покраснение края десен, отек, чувство жжения, зуда, усиленное образование зубного налета. В тяжелых случаях на деснах могут появиться болезненные кровоточащие язвы и пародонтальные карманы, из которых выделяется гной.
Если воспалились десны у ребенка, лечение может включать:
  • Профессиональную гигиену ротовой полости. Без этого невозможно добиться хорошего результата от использования местных средств – мазей, гелей и полосканий.
  • Применение обезболивающих и противовоспалительных препаратов.
  • Антибактериальную терапию. Но надо иметь в виду, что антибиотики должен назначать только врач.
  • Восстановление микрофлоры при помощи пробиотиков.
В запущенных случаях воспаления десен у ребенка может понадобиться хирургическая операция по удалению разросшихся или некротических тканей.

Профилактика воспаления десен у детей

Избежать воспаления десен у детей поможет соблюдение простых правил:
  • регулярная чистка зубов;
  • ограничение в рационе легкоусвояемых углеводов;
  • отказ от перекусываний между приемами пищи.
Если у вас остались вопросы, специалисты клиники «Дока-Дент» в Москве будут рады на них ответить. А отзывы пациентов, фото до и после лечения в нашей стоматологии – есть на сайте.