Другие статьи

Киста на десне

Киста зуба
Нередко люди сталкиваются с образованием кисты на десне, лечение этой патологии успешно осуществляют специалисты круглосуточной клиники «Дока-Дент». Киста – воспалительное новообразование в виде капсулы, заполненной гнойными массами. Она возникает в области корней зубов и может достигать размера в несколько сантиметров.
Изначально заболевание прогрессирует без какой-либо симптоматики, и выявить проблему в этот период возможно лишь на рентгенограмме. Если вовремя обнаружена киста на десне, лечение поможет сохранить зуб. В сильно запущенных случаях единственный выход - удаление.

Признаки кисты на десне

Если на самой стадии заболевание никак себя не выдает, то позже могут появиться определенные признаки возникновения кисты на десне - лечение необходимо начать сразу после их обнаружения:
  • неприятные ощущения в десне при пережевывании пищи;
  • чувство тяжести в области зубного корня;
  • периодические болевые ощущения во время еды;
  • затрудненное открывание рта;
  • появление на десне бугорка, постепенно увеличивающегося в размерах;
  • открытие свищевого хода;
  • увеличение лимфатических узлов.
Киста на десне, лечение которой отсутствует, становится причиной повышения температуры, слабости и недомогания.

Последствия кисты на десне

Даже при появлении симптомов новообразования многие люди не спешат обращаться в стоматологическую клинику. А ведь киста на десне без лечения может привести к очень серьезным последствиям:
  • воспалению надкостницы (флюс);
  • остеомиелиту челюсти;
  • развитию периодонтита;
  • разрушению корней и выпадению зуба;
  • перерастанию в злокачественную опухоль;
  • образованию флегмоны (острого гнойного воспаления);
  • хроническим болезням различных органов.
Заболевания, возникающие из-за того, что при кисте на десне лечение не проводилось, вызывают намного больше болевых ощущений и требуют более сложной терапии, чем первичная патология.

Киста на десне - лечение

При диагнозе «киста на десне» лечение может быть терапевтическим или хирургическим. Ко второму способу прибегают чаще, поскольку пациенты, в основном, обращаются на поздних стадиях развития патологии.
Оперативное вмешательство может проводиться разными методами:
  • Цистэктомия. Капсула удаляется вместе с частью корня.
  • Цистотомия. Киста вскрывается, а ее содержимое извлекается из полости.
  • Гемисекция. Иссекают кисту, поврежденный корень и часть коронки.

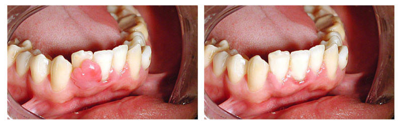
Киста на десне: фото до и после

При любых заболеваниях полости рта, в их числе киста зуба, лечение в клинике «Дока-Дент» проводится на самом высоком уровне. Запишитесь на прием (форма на сайте доступна 24 часа в сутки), и убедитесь в этом сами.