Другие статьи

Керамические коронки - безметалловая керамика

Коронки
Вы знаете, что при жевании нагрузка на один зуб может доходить до 80 килограммов? А верхний предел, который есть в его резерве, это – целых 200! Это лишний раз доказывает, что такой показатель, как надежность и крепость – это не пустые слова в отношении устанавливаемых протезов, которые призваны выполнять те же функции, что и свои природные зубы.
Современная безметалловая керамика – это новое, сверхнадежное средство в протезировании зубов. В основе многих из них – диоксид циркония. Примечательно, что его свойства в плане прочности были впервые отмечены и нашли применение не в стоматологии, а в хирургии и ортопедии. Из него выполнялись и выполняются тазобедренные суставы, которым в прочности также не занимать. Керамические зубы стали вторым и очень успешным экспериментальным полем этого материала. И здесь он проявил свои новые качества. Оказалось, что именно безметалловая керамическая коронка обладает абсолютно всеми необходимыми свойствами для того, чтобы такой сложный и во многом интимный процесс, как протезирование, прошел на отлично. Превосходный внешний вид, полная биосовместимость, гарантированная и проверенная прочность – вот что такое керамические зубные протезы.
Вот краткий обзор их конкурентных преимуществ:
  1. Безопасность. В составе нет никаких вредных для организма человека веществ. Кроме того, керамические коронки гипоаллергенны, не вступают во взаимодействие ни с какими веществами и материалами в полости рта и организме в целом. Процент приживаемости их в организме выше 99%.
  2. Прочность. Коронки из циркония намного прочнее металлических, поэтому они могут служить десятилетиями без стирания, деформации, какой бы ни была нагрузка. Кроме того, они устойчивы к воздействию кислот и перепаду температур.
  3. Эстетичность. Коэффициент преломления света на их поверхности практически идентичен коэффициенту преломления света в слюне. Проще говоря, они выглядят максимально натурально. В дополнение к этому современные технологии позволяют добиться полного цветового совпадения с остальными родными зубами. Поставить керамические зубы – значит обрести улыбку, идеальную во всех отношениях.

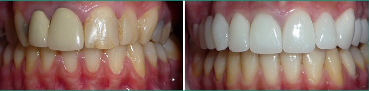
Керамические коронки - безметалловая керамика: фото до и после

Конечно, все указанные свойства не могут не сказаться на стоимости керамической коронки, но результат, который будет радовать не меньше 40 лет того стоит.

Цена на керамические коронки

Сколько стоит керамическая коронка в нашей клинике вам подробно рассчитывают на личном приеме. В цену войдут такие факторы, как количество необходимых протезов, особенности вашего случая, возможные противопоказания, обязательность предварительного лечения и другие. Чтобы узнать, сколько стоит поставит керамический зуб, нужно записаться на консультацию и осмотр по телефону или оставит заявку на сайте.