Протезирование зубов

Протезирование зубов без обточки

Протезирование зубов
Восстановление потерянных зубов долгое время проводилось в буквальном смысле с опорой на соседние. Для того чтобы поставить так называемые «мосты» для коронок, например, требовалась тщательная и утомительная подготовка. Соседние зубы нужно было вылечить, часто депульпировать, обточить. Протезирование без обточки соседних зубов было невозможным. Весь этот сложный комплекс мер негативно сказывался на здоровье этих самых зубов, приводя к тому, что в недалеком будущем протезировать приходилось уже их.
Наша клиника предлагает уникальную услугу – протезирование зубов без обточки! Причем несколько видов. Как это возможно? Давайте рассмотрим принцип действия каждой технологии подробнее.
Имплантация. «Искусственный корень» зуба вживляется в десну, где со временем абсолютно срастается с окружающими тканями. На такой имплант можно поставить как постоянные коронки, так и съемные протезы.
Адгезивные протезы. Они крепятся также на соседних зубах, но не надеваются на них, а приклеиваются при помощи сверхкрепкого вещества. Это идеальный способ протезирования без обточки, когда нужно восстановить один или пару утраченных зубов.
Съемные нейлоновые протезы. Очевидное преимущество – это самая низкая цена на протезирование без обточки. Они успешно решают свою задачу, но через некоторое время требуют замены и могут вызывать дискомфорт.
Одним из самых оптимальных по соотношению цены и качества решений является протезирование на микрозамках.

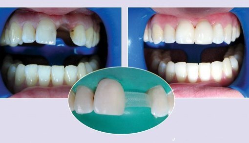
Протезирование зубов без обточки: фото до и после

Протезирование зубов на микрозамках

Это относительно новый метод, появившийся в начале 20 века, но уже завоевавший заслуженную популярность. Благодаря таким качествам, как скорость проведения процедуры, результативность, надежность и щадящий режим протезирование зубов на микрозамках выбирает подавляющее число наших пациентов.
Суть метода такова. В соседних опорных зубах врач делает небольшие каналы. В каждый из них затем он вставляет специальный замок, крепящийся на специальный клей, и уже на него ставится часть мостовидного протеза. Зубы при этом никак не препарируются, а нагрузка распределяется исключительно на сами замки, а не на зубы, которые ничуть не страдают под действием протеза.
Этот вид зубных протезов без обточки не только надежен, атравматичен и доступен. Он оставляет за вами максимальную свободу действия. Если однажды вы решите вернуться к натуральному зубному ряду, сменив вид протезирования, нашим врачам будет достаточно лишь снять коронку и запломбировать миниатюрные отверстия по бокам. Ни здоровье, ни внешний вид опорных соседних зубов не пострадает. Записаться на консультацию и узнать подробности можно по телефону или на бесплатной консультации.