Другие статьи

Детская ортодонтия

Ортодонтия
Детская ортодонтия - крайне важная часть стоматологической медицины. В детском возрасте растущие, еще лишь начинающие развиваться зубы гораздо легче исправить, чем коренные зубы взрослого человека. С помощью брекетов, например, можно исправить прикус ребенка, пока ряды зубов не сформировались окончательно. Избежать формирования неправильного постоянного прикуса и искривления зубов вам помогут специалисты клиники «Дока-Дент», которые располагают всеми возможностями для эффективного применения лучших методов коррекции прикуса у детей.

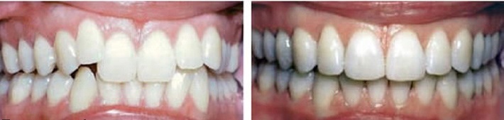
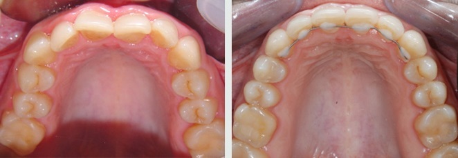
Детская ортодонтия: фото до и после

Современная детская ортодонтия направлена на то, чтобы во время процедур ребенок чувствовал себя наиболее комфортно. Например, чтобы снизить рвотный рефлекс, когда происходит снятие слепка с челюсти, используется азотно-кислородная седация (закись азота). Она расслабляет гладкую мускулатуру, снижая рвотный рефлекс. Новые прогрессивные цифровые ортопантомографы делают возможным снижение лучевой нагрузки на пациента при получении снимков зубов для диагностики.
Если костные ряды зубов ребенка еще не успели сформироваться, то специалисты «Дока-Дент» применяют съемные пластинки и преортодонтические трейнеры для исправления молочного прикуса. В нашей клинике для каждого пациента индивидуально подбирается отдельная наиболее эффективная методика исправления зубов. Многие из них несут в себе еще и профилактическую составляющую.
Среди самых новых разработок в данной сфере следует отметить систему трехмерного моделирования брекетов, которая стала актуальной и для детской, и для взрослой ортодонтии. Благодаря этой системе, применяемой в клинике «Дока-Дент», становится возможной визуальная прогнозируемость результата лечения. Столь удобная и наглядная демонстрация чрезвычайно важна и для врача, и для пациента, поскольку от полученных данных зависят особенности расположения ортодонтической пластинки в ротовой полости.
Дефекты прикуса проще исправить именно в раннем детском возрасте, тем самым избавив пациента от множества последующих проблем - таких как: гастрит и гайморит, а также от психологических комплексов по поводу внешнего вида. Детская ортодонтия в «Дока-Дент» - это внимательное отношение к юным пациентам, применение безболезненных и высокоэффективных методов лечения и гарантия комфортного пребывания вашего ребенка в кресле стоматолога.