Другие статьи

Компьютерная томография зубов

Рентгенологическая диагностика
Среди прочих услуг пациентам клиники «Дока-Дент» предлагается компьютерная томография зубов (КТ), которая позволяет обследовать зубочелюстную систему в трехмерном пространстве и получить объемное 3D изображение.
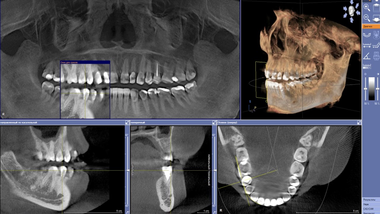
Лечение любого заболевания начинается с диагностики. В стоматологической практике она чаще всего проводится с помощью рентгена (прицельных и панорамных снимков). Но рентгеновский снимок отображает объект только в одной плоскости, поэтому такой метод не всегда информативен. Дентальная компьютерная томография дает специалисту полное представление о состоянии всей челюстно-лицевой области, ведь каждый элемент зубочелюстной системы, верхнечелюстных пазух, височно-нижнечелюстных суставов может рассматриваться под разными углами, в любом измерении и при любом срезе.

Для чего нужна компьютерная томография зубов?

  • Эндодонтам и терапевтам данные компьютерной томографии помогают обнаружить патологии зубов и околозубных тканей. Врачи могут увидеть анатомическое строение корневых каналов, выявить осложнения пульпита и т.д. По результатам исследования специалист составляет четкий план лечения. К тому же точная диагностика позволяет свести к минимуму вероятность осложнений, а сами лечебные манипуляции предельно сократить по времени.
  • Врачам-ортодонтам снимок КТ зубов дает сведения о состоянии костной ткани, о наличии тех или иных аномалий зубных рядов (ретинированные, дистопированные, сверхкомплектные зубы и т.п.). При обследовании маленьких пациентов стоматологи получают информацию о том, как расположены зачатки постоянных и корни молочных зубов. На ее основании можно спрогнозировать вероятные нарушения развития зубочелюстной системы ребенка и заранее продумать план их устранения.
  • КТ имеет большое значение и для стоматологической хирургии, в частности, при имплантации зубов. Объемное изображение участка челюсти, где предполагается установить искусственный корень, нужно для того чтобы оценить состояние костной ткани. Если кости недостаточно, врач принимает решение о необходимости синус-лифтинга (наращивания дна верхнечелюстной пазухи). Также 3D-диагностика — лучший способ оценки уже проведенной имплантации. Благодаря этому методу можно вовремя выявить осложнения и в зависимости от проблемы скорректировать план лечения.

Компьютерная томография зубов в Москве

Чтобы сделать КТ зубов в Москве, можно прийти в клинику «Дока-Дент». Для этого нужно предварительно записаться по телефону, на нашем сайте или лично, после консультации с лечащим врачом.
Компьютерная томография на Юго-Западной (метро Юго-Западная) — это абсолютно безболезненная процедура, которая длится всего полминуты. Противопоказаний к ее проведению очень мало, в основном ограничения связаны с беременными женщинами (на ранних сроках) и совсем маленькими детьми. Кроме того, если у пациента аллергия на йодсодержащие препараты, нужно предупредить об этом врача, так как в некоторых случаях для большей информативности снимка используются рентгеноконтрастные вещества. Проведение исследования не требует ограничений в питании или отказа от каких-то привычек. Просто приходите к нам, а опытные специалисты сделают все необходимое.