Пульпит

Удаление молочных зубов

Детская стоматология
Одна из услуг клиники «Дока-Дент» — удаление молочных зубов. Однако к этой мере мы прибегаем лишь в крайних случаях, когда больной зуб спасти нельзя. Дело в том, что раннее удаление молочных зубов у детей чревато многими проблемами: оставшиеся зубы обычно стремятся занять свободное место, а значит, постоянные зубы не смогут нормально прорезаться. В дальнейшем это может привести к формированию аномального прикуса, что потребует долгого лечения у врача ортодонта. Кроме того, преждевременное удаление у ребенка молочного зуба иногда вызывает замедление темпа развития челюсти, из-за чего зубной ряд также может деформироваться.
Однако бывают ситуации, когда удаление молочных зубов необходимо. Без этой операции не обойтись, если зуб:
  • очень сильно поврежден кариесом или разрушен вследствие травмы;
  • шатается и имеет наполовину рассосавшийся корень;
  • мешает постоянным зубам прорезываться;
  • имеет на корне кисту.
Относительные показания к удалению молочного зуба — это его перелом, а также пульпит и хронический периодонтит. Иногда зуб вырывают по ортодонтическим показаниям.

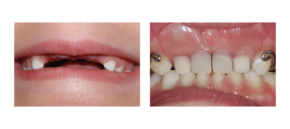
Удаление молочных зубов: фото до и после

Специфика удаления молочных зубов

Молочные зубы имеют определенные анатомические особенности, которые доктору нужно учитывать во время их удаления:
  • стенки альвеол гораздо тоньше, чем у постоянных зубов;
  • область шейки слабо выражена;
  • корни молочных зубов часто расходятся под большим углом.
Удаление молочного зуба требует особого инструментария — для этой цели применяются щипцы со слабой фиксацией. Так удается избежать повреждения тонких зубных стенок. Техника экстракции заключается в том, чтобы плотно зафиксировать и вытащить зуб одним движением, не доставляя ребенку лишнего дискомфорта.
Удаление зубов у детей обычно проходит под анестезией. Но иногда можно и не делать обезболивание, например, когда надо вырвать шатающийся зуб с практически полностью рассосавшимся корнем. Если же предстоит более серьезная процедура экстракции зуба, то применяется местный анестетик в индивидуально рассчитанной дозировке.
В качестве обезболивающих используются новейшие препараты, которые хорошо устраняют боль и редко вызывают аллергические реакции. Однако, несмотря на это, перед обезболиванием мы обязательно проводим тест на вероятность аллергии. И только при отрицательной пробе анестетик считается безвредным.
Бывают исключительные случаи, когда ребенок крайне негативно относится к любым медицинским манипуляциям или если нужно вылечить зубки малышу до полутора лет. В таких ситуациях возможно удаление зубов у детей под общим наркозом. Такая процедура проводится только в клиниках, где есть детский анестезиолог.
Узнать, сколько стоит удалить зуб, можно в прайс-листе, а записаться на прием к стоматологу — по телефону или путем заполнения несложной формы заявки.