Другие статьи

Штампованно-паяные мостовидные протезы

Мостовидные зубные протезы
Одна из разновидностей несъемных ортопедических конструкций – штампованно-паяный мостовидный протез. Как следует из названия, в процессе изготовления изделия применяются две технологии: сначала методом штамповки из специальных металлических гильз создаются одиночные коронки, после чего они спаиваются между собой в единое целое. На сегодняшний день подобный вид протезирования считается устаревшим и практически не используется.

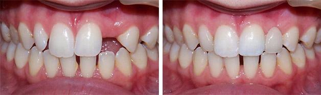
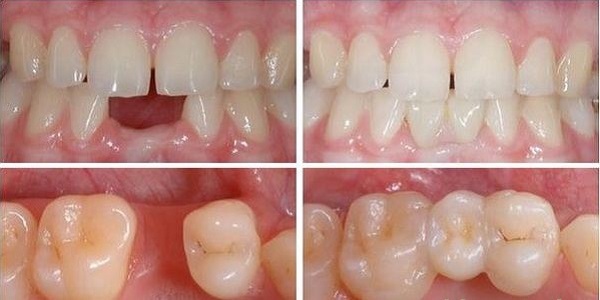
Штампованно-паяные мостовидные протезы: фото до и после

Виды паяных мостовидных протезов

Паянные мостовидные протезы бывают трех видов:
  • без напыления – в этом случае коронки имеют обычный металлический цвет;
  • с напылением – с помощью нитрида титана коронки приобретают золотой цвет;
  • с пластмассовой облицовкой – из всех вариантов этот отличается наибольшей эстетичностью, поскольку цвет облицованных протезов приближен к цвету натуральных зубов.

Какой материал используют для паяных мостовидных протезов

Штампованно-паяный мостовидный протез может быть изготовлен из сплавов неблагородных или благородных металлов. В первом случае применяются нержавеющая сталь, хром, никель, во втором – серебро, золото, палладий. В качестве облицовки используются пластмассы акрилового ряда.

Преимущества и недостатки

У штампованно-паяного мостовидного протеза больше недостатков, чем достоинств. К плюсам можно отнести небольшую толщину стенок (значит, на подготовительном этапе потребуется сошлифовать меньший объем зубных тканей) и невысокую стоимость восстановления зубов.
А из недостатков стоит упомянуть следующие моменты:
  • Из-за особенностей изготовления паяных мостовидных протезов невозможно обеспечить точность прилегания коронок к опорным зубам. В результате в течение некоторого времени под ними развивается вторичный кариес, который приводит к полному разрушению зуба. Кроме того, край паяного мостовидного протеза постоянно раздражает десну, вызывая хроническое воспаление. Нередко это становится причиной развития пародонтита, и, как следствия, утраты зубов.
  • Малая толщина коронок – не только плюс, но и минус: от жевательной нагрузки они быстрее стираются и даже могут сломаться.
  • В состав припоя штампованно-паяного мостовидного протеза входят металлы (например, цинк, висмут, медь, кадмий), которые могут вызывать негативные побочные эффекты: раздражение тканей полости рта, гальваноз - постоянное воздействие на слизистую гальванических токов не только вызывает дискомфорт, но и может стать причиной возникновения заболеваний желудочно-кишечного тракта.
  • Под воздействием слюны, компонентов пищи и напитков металлы паяных мостовидных протезов окисляются. О данном процессе свидетельствует почернение мест пайки либо образование на поверхностях коронок резко очерченных пятен. При этом во рту появляется неприятный металлический привкус.
  • По прочности паяные мостовидные протезы значительно уступают цельнолитым конструкциям.
  • Чаще всего коронки, изготовленные данным методом, имеют недостаточно выраженный рельеф жевательной поверхности. Это ухудшает процесс измельчения пищи и приводит к возникновению проблем в височно-нижнечелюстных суставах.
Ввиду большого количества недостатков в мировой практике на смену штампованно-паяным мостовидным протезам давно пришли цельнолитые ортопедические конструкции для восстановления зубов.