Другие статьи

Металлокерамические коронки

Коронки
В настоящее время при протезировании зубов чаще всего применяется металлокерамика. Ее эксплуатационные характеристики позволяют восполнять дефекты в передних и жевательных отделах, создавая ортопедические конструкции большой протяженности.

Что такое металлокерамика?

Металлокерамика представляет собой несъемный зубной протез из двух слоев:
  1. Металлический каркас, сделанный методом литья из хромо-никелевого, кобальт-хромового, титанового или золото-платинового сплава.
  2. Внешний слой - фарфоровая облицовочная масса, по цвету совпадающая с природными зубами человека.

Виды, преимущества и недостатки металлокерамики

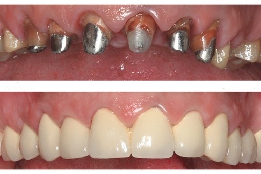
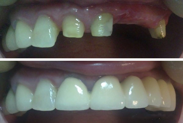
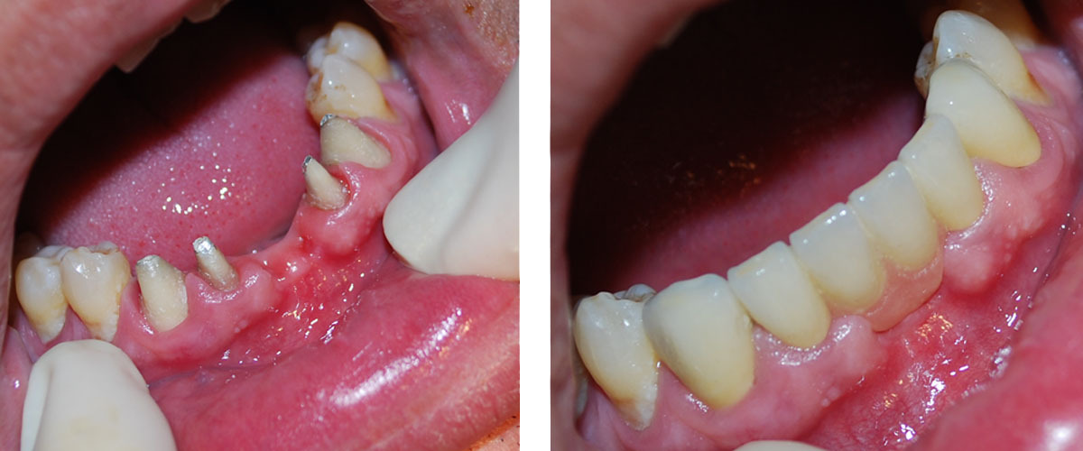
Металлокерамика в стоматологии бывает в виде обычных коронок, когда внутренний и внешний слои одновременно соприкасаются с десной, и в виде коронок с плечевой массой – в этом случае в нижней части изделия предусмотрен дополнительный слой фарфора, который закрывает металл снизу. Наличие плечевой массы исключает возможность контакта металла с десной, что обеспечивает более эстетичный результат.
Металлокерамика в Москве в клинике «Дока-Дент» - очень популярный материал благодаря многим достоинствам:
  • гигиеничность;
  • небольшой вес;
  • высокая прочность;
  • эстетичность;
  • долговечность;
  • доступная стоимость.

Металлокерамические коронки: фото до и после

Плюсом является и универсальность – устанавливается металлокерамика на имплантах и на естественных зубах;
Из минусов таких протезов можно назвать:
  • вероятность возникновения аллергии на металлический сплав;
  • если есть убыль десны, со временем в районе шейки зуба может просвечивать металлический край коронки;
  • необходимость раз в год делать пришлифовку жевательной поверхности по прикусу, чтобы предупредить сколы облицовки.

Этапы изготовления металлокерамики

Металлокерамика на импланты или природные зубы изготавливается в среднем 10 дней. За этот срок выполняются следующие операции:
  • Подготовка зуба – удаление поврежденных тканей и обточка на толщину будущей конструкции. По желанию пациента на период ожидания протеза на зубы могут быть сразу установлены временные пластмассовые коронки, скрывающие дефект.
  • Снятие с зуба слепка – услуга «металлокерамика под ключ» предусматривает включение этой процедуры в стоимость протезирования.
  • Изготовление гипсовой модели по оттиску.
  • Моделирование из воска каркаса коронки.
  • Изготовление, обработка и примерка каркаса.
  • Послойное нанесение фарфоровой массы с обжигом каждого слоя.
  • Глазирование изделия и окончательный обжиг.

Как добиваются естественного цвета металлокерамики?

При изготовлении металлокерамики в стоматологии используются специальные красители, с помощью которых можно имитировать весь спектр оттенков природных зубов человека. При грамотном подборе опаков (непрозрачного фарфора), дентинов, красителей, эмалей и глазури можно создать коронку, отличающуюся высокой эстетичностью.

Критерии качества металлокерамики

Для того чтобы протез без нареканий прослужил положенный срок, перед тем, как поставить металлокерамику очень важно выполнить два условия:
  1. Правильно рассчитать жевательные нагрузки от зубов-антагонистов – для этого оцениваются устойчивость опорных зубов, состояние окружающих тканей, особенности прикуса, состояние жевательных мышц и височно-нижнечелюстного сустава.
  2. Правильно обточить опорный зуб – он обязательно препарируется с формированием пришеечного уступа для плотного прилегания коронки к зубу. Это облегчает гигиеническую обработку протеза и предупреждает попадание под него частичек пищи.
При хорошей работе специалистов, осуществляющих изготовление и установку металлокерамики под ключ, коронка четко садится, герметично фиксируется и органично смотрится в зубном ряду.

Стоимость металлокерамики в Москве в нашей стоматологии

Цены на металлокерамику указаны в таблице, но сумма за протезирование всегда рассчитывается индивидуально, поэтому необходимо записаться на прием к врачу-ортопеду. Специалист проведет диагностику, подберет оптимальный вариант восстановления зубов и назовет стоимость металлокерамики в вашем конкретном случае.