Другие статьи

Восстановление эмали зубов

Профилактическая стоматология
Сеть стоматологических клиник «Дока-Дент» предлагает пациентам ряд услуг по укреплению зубной эмали. Наши специалисты отлично знают, как восстановить эмаль зубов. Они составят для вас индивидуальный план лечения, назначат необходимые лекарственные средства, проведут профессиональные процедуры, например, выполнят покрытие зубов эмалью, и дадут полезные рекомендации, которые помогут сохранить зубы красивыми и здоровыми.

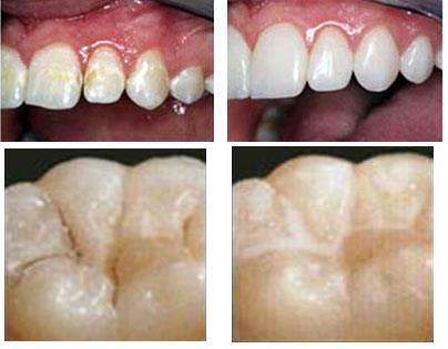
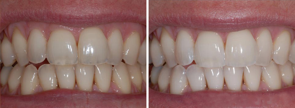
Восстановление эмали зубов: фото до и после

Укрепление эмали зубов

Зубная эмаль — это тонкая, но в то же время и наиболее прочная часть зуба, которая покрывает и защищает всю его поверхность. При повреждениях этого слоя существенно возрастает риск возникновения кариеса. Именно поэтому важно уделять внимание профилактике и своевременно проводить мероприятия по укреплению и восстановлению зубной эмали, ведь самостоятельно регенерировать она, к сожалению, не может.

Почему разрушается эмаль зубов?

Структура эмали нарушается по многим причинам. Среди них:
  • особенности строения зубов — слишком тонкий верхний слой быстрее разрушается, в этом случае необходимо дополнительное покрытие зубов эмалью;
  • вредные привычки (курение, регулярное употребление энергетических напитков и т.д.);
  • неправильное питание (переизбыток кислой и сладкой пищи);
  • механические повреждения – дефекты прикуса, травмы, некорректное лечение могут нарушить целостность защитного слоя, после чего требуется восстановление эмали зубов;
  • резкие перепады температур во время еды;
  • дефицит необходимых микроэлементов;
  • переизбыток фтора в питьевой воде;
  • заболевания ЖКТ и другие общие нарушения в организме.

Признаки разрушения эмали

О том, что защитный слой зубных тканей потерял целостность, и пришло время прибегнуть к процедуре восстановления эмали зубов, свидетельствуют следующие симптомы:
  • повышение чувствительности зубов;
  • эстетические изменения – потускнение эмали, появление потемнений и пятен;
  • болезненные ощущения при вдохе;
  • наличие начального кариеса;
  • ноющие боли в зубах по ночам.

Показания к укреплению эмали зубов

Укрепление зубной эмали рекомендуется при поверхностном кариесе, истончении эмали и ее деминерализации (нарушении минерального состава) — например, после процедур по отбеливанию зубов. Кроме того, соответствующее лечение может потребоваться, если эмаль повреждена из-за каких-либо заболеваний ротовой полости или всего организма.

Как в домашних условиях укрепить эмаль?

Так как самостоятельное восстановление эмали зубов невозможно, домашние методы по ее укреплению можно считать профилактическими мерами. Так, к примеру, улучшить состояние защитного слоя зубов может диета — включение в рацион продуктов, богатых содержанием кальция, фтора и витамина D, а также отказ от вредных привычек. Полезными для укрепления эмали зубов будут: использование зубной пасты с фтором, прием лекарственных средств, рекомендованных специалистом, а также применение реминерализирующих гелей в виде аппликаций или в индивидуально изготовленных капах.

Препараты для укрепления и восстановления эмали зубов

С целью укрепления эмали зубов стоматологи «Дока-Дент» используют различные препараты, содержащие кальций и фтор. Это могут быть лаки, гели, пасты. Данные средства применяются для таких процедур, как фторирование зубов, реминерализация, а также имплантация эмали (покрытие зубов эмалью).

Как эмаль восстанавливается в стоматологической клинике?

Для укрепления эмали зубов в клиниках «Дока-Дент» используются следующие методики:
Насыщение зубной эмали фтором. Процедура поверхностного или глубокого фторирования делает зубы устойчивыми к воздействию кислот, а следовательно, и развитию кариеса.
  1. Реминерализация. Обработка минерализующими составами (покрытие зубов эмалью) способствует восстановлению структуры зубной ткани.
При частичных разрушениях, трещинах и сколах эмали применяется реставрация пломбировочным материалом.

Критерии качества при восстановлении эмали зубов

В результате качественно проведенных процедур по укреплению эмали зубы будут выглядеть более крепкими и здоровыми, улучшится их цвет, а кроме того, значительно снизится чувствительность зубов к химическим и температурным воздействиям.