Другие статьи

Коронки

Коронки
Восстановление коронок – видимой части зуба – долгие годы представлялось делом трудным. При этом найти способ, успешно позволяющий совместить решением всех задач – и функциональной, и эстетической – было почти невозможно. Наконец, появилось средство, которое стало ответом на множество вопросов врачей и пациентов. Им стали зубные коронки. Это современное, доступное и надежное средство для восстановления разрушенного натурального зуба тогда, когда, казалось, ничего уже не поможет. В чем именно заключается восстановление? Прежде всего, это форма, максимально близкая к природной, функции – жевательные, внешний вид – натуральный, и такие характеристики, как надежность, прочность, крепость.
Современные зубные коронки ни по выполняемым задачам, ни по внешнему виду ничем не отличаются от родных зубов. Поэтому если перед вами стоит проблема восстановить потерянный зуб или целый зубной ряд, смело записывайтесь к нам на прием.
Коронка на зуб – это вид несъемного протеза. Это означает, что она изготавливается индивидуально, по слепку с ваших зубов, при помощи высокотехнологичного оборудования, всегда с применением точного компьютерного проектирования и изготовления специалистом, и потом, по истечении некоторого срока, устанавливается на крепление, чтобы служить верой и правдой от 10 до 40 лет.
Не удивляйтесь, это действительно так. Сроки службы разных видов искусственных коронок значительно выросли за последние десять лет. Многие производители смело дают даже пожизненные гарантии. Конечно, это справедливо только в отношении современных видов коронок на зубы, выполненных из новейших материалов, например, циркония.
Вне зависимости от типа все они предназначены для видимой части зуба, то есть для тех случаев, когда у вас разрушен, травмирован, сломан зуб, или в нем есть трещина, или он поменял цвет. Вы можете быть уверены в том, что этот метод решит все эстетические проблемы, поэтому установка коронки на передние зубы – одна из самых популярных услуг в нашей клинике.
Кроме того, установка зубных коронок может понадобиться и для фиксации, например, такой конструкции как мостовидный протез.

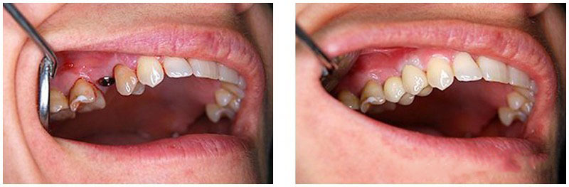
Коронки: фото до и после

Цена на зубные коронки

Стоимость зубной коронки будет, прежде всего, определяться материалом, из которого она изготовлена. Металлические – одни из самых доступных, если речь не идет о драгоценных его видах. Но даже золотые или серебряные варианты могут быть не цельные, а коронки с напылением. Компромисс между надежностью и эстетикой – металлокерамические коронки, обычно отличающиеся более высокой стоимостью. Наконец, самые современные, прочные, функциональные, кроме того, безопасные и имеющие максимальную биосовместимость – коронки, выполненные полностью из керамики и циркония – самые дорогие в виду понятных причин.
Сколько стоит поставить коронку на зуб, и какой именно материал вам выбрать – на эти вопросы вы получите ответ наших специалистов на личном приеме. Спешите записаться!