Другие статьи

Реставрация боковых зубов

Реставрация зубов
Сложность реставрации боковых зубов заключается в необходимости точного воссоздания всех особенностей жевательных поверхностей. Нередко из-за ограниченного времени стоматологического приема врачи уделяют недостаточно внимания этому моменту. В результате неправильно поставленные пломбы становятся источником разных проблем: травм языка, десен, сосочов, слизистых оболочек губ, щек и многих других осложнений. Некачественная реставрация боковых зубов способна даже привести к дисфункции височно-нижнечелюстного сустава.
Вот почему очень важно обратиться к хорошему специалисту и соблюдать меры профилактики, ведь кариес чаще всего развивается в фиссурах. Незамеченный вовремя, он вызывает обширные поражения более глубоких тканей, а это уже требует не просто реставрации боковых зубов, а серьезного эндодонтического лечения.

Реставрация жевательных зубов

Осуществляя реставрацию жевательных зубов, наши специалисты детально изучают целый ряд морфологических элементов: геометрическую форму щечной поверхности, индивидуальные особенности полости рта, зубодесневой контур, протяженности зубных контактов, количество и форму бугров, степень их стертости, тип и глубину фиссур, макрорельеф ротовой полости.
Правильная реставрация жевательных зубов возможна лишь при абсолютном соблюдении норм физиологии и анатомии. Весь процесс реконструкции боковых зубов состоит из нескольких этапов:
  • 1. Создание реставрационной базы. Если зуб сильно разрушен, врач сначала перекрывает пломбировочным материалом отсутствующий дентин и после этого моделирует основание бугров зуба.
  • 2. Восстановление контактной стенки – реставрация жевательных зубов в этих местах выполняется с помощью жидкотекучих композитов.
  • 3. Воспроизведение индивидуальных особенностей зуба: отклонений корней, угла коронковой части, системы фиссур.
Восстанавливая индивидуальные характеристики зуба, врач обязательно должен учитывать оттенок соседних зубов. Каждый слой композитного материала подвергается полимеризации. А по завершению процесса реставрации выполняется абразивная обработка поверхности.

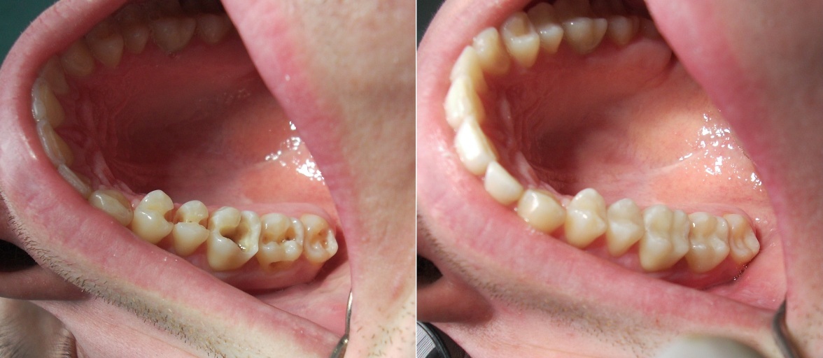
Реставрация боковых зубов: фото до и после

Методы реставрации боковых зубов

Реставрация боковых зубов с помощью композитных материалов может осуществляться следующим образом:
  • Сэндвич-техника. Метод представляет собой наложение двухслойной пломбы. Внутренний слой – стеклоиономерный цемент, компомер или амальгама, наружный – композит. Эта техника показана пациентам с тяжелым течением кариеса, при пломбировании обширных дефектов, полостей в области корня или шейки зуба, а также если зуб депульпирован.
  • Метод слоеной реставрации жевательных зубов. Эта техника предполагает сочетание композитов, обладающих различной степенью эластичности (традиционных, жидкотекучих, конденсируемых), что позволяет добиться отличных результатов даже в сложных клинических ситуациях.
  • Адгезивная техника. Предусматривает применение специальных препаратов для сцепления композита с дентином и эмалью. Показана во всех случаях пломбирования композитными материалами, особенно при реставрации боковых зубов в области шеек, при лечении клиновидных дефектов и т.д.
  • Бондинг (техника склеивания). При пломбировании полость зуба покрывается клейким веществом для надежного закрепления материала. Применяется только при наличии хороших условий для прочной фиксации пломбы. Малоэффективна при кариесе корня, пломбировании поддесневых и пришеечных полостей, стертости эмалевого слоя на жевательной поверхности.