Другие статьи

Коронки из оксида циркония

Коронки
Сегодня существует немалое количество вариантов протезирования, но самым совершенным с точки зрения физиологии и эстетики считается установка коронок из оксида циркония.
Это сверхпрочные ортопедические конструкции, для изготовления которых требуются высокотехнологичное оборудование и высококвалифицированные специалисты. Основа протеза выпиливается из цельного циркониевого блока. При этом используются особые компьютерные программы, с помощью которых создаются 3D-модели зуба. Изготовленные таким образом коронки из оксида циркония являются универсальными отлично подходят для установки в любом отделе зубного ряда.

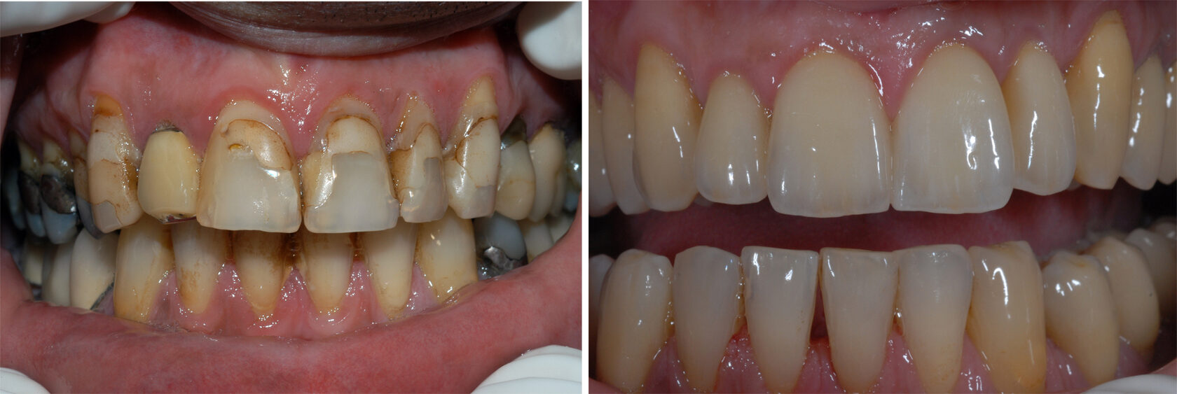
Коронки из оксида циркония: фото до и после

Виды коронок из оксида циркония

В стоматологической практике зубы из оксида циркония чаще всего изготавливаются по технологии ICE Zircon, реже — Prettau Zircon. В первом случае протезы имеют фарфоровую облицовку. Если выполняется протезирование жевательных зубов, слой диоксида циркония может быть утолщен, а керамическое покрытие делается более тонким.
Второй вариант – это изделия без облицовки либо с частичной облицовкой фарфоровыми массами. Такие коронки из оксида циркония применяются по особым показаниям, например, если пациент страдает бруксизмом.

Какой материал используют для коронок из оксида циркония

Основным сырьем для каркаса изделий при протезировании зубов оксидом циркония служит минерал циркон. Оксид из него получают путем особой химической обработки с помощью определенных добавок. По прочности материал превосходит многие металлы, что особенно важно для протезирования зубов жевательной группы.
Для облицовки изделий применяется стоматологический фарфор, по физическим качествам близкий стеклу. Главное достоинство этого материала – оптические свойства: он способен пропускать свет, но при этом не прозрачен, как стекло.

Преимущества и недостатки коронок из оксида циркония

У протезирования зубов оксидом циркония большое количество преимуществ:
  • Высокая эстетика. За счет керамической облицовки и белого цвета каркаса искусственные коронки имеют максимальное сходство с настоящими зубами. Для них характерна та же степень светопроницаемости, что и для натуральных зубов, кроме того, обширная цветовая гамма дает возможность без проблем подобрать нужный оттенок материала.
  • Безопасность для здоровья. Коронки на основе оксида циркония нетоксичны, не канцерогенны, гипоаллергенны. Они не вызывают воспаление и рецессию (убыль) десен, не меняют их цвет. За счет небольшой толщины каркаса (примерно 0, 4 мм) выполняется щадящая обточка зуба, а идеальное прилегание протеза к стенкам опорного зуба уменьшает вероятность расцементировки и предупреждает проникновение внутрь бактерий, вызывающих развитие вторичного кариеса и периодонтита.
  • Стабильность при нагрузках и долговечность эстетики. Даже после многолетней эксплуатации керамические коронки на оксиде циркония сохраняют презентабельный вид: не меняют цвета под действием пищевых красителей, а за счет прочного сцепления каркаса и облицовки на них практически не образуются сколы и трещины.
  • Небольшой вес. При высокой прочности керамические коронки на оксиде циркония в два раза легче металлокерамических. Низкая теплопроводность. Это свойство позволяет без проблем восстанавливать живые зубы и очень актуально для протезирования на основе имплантов.
  • Возможность реставрации небольших дефектов, появившихся за время носки.
  • Длительный срок службы. Коронки на основе оксида циркония способны прослужить 15-20 лет, а при качественной установке и тщательном ежедневном уходе их можно носить всю жизнь.
  • Широкая область применения. С помощью таких протезов реконструируют как одну единицу, так и целый ряд зубов.
  • Гигиеничность. Коронки на основе оксида циркония не представляют сложности в уходе. Их нужно лишь регулярно чистить, а для проведения профилактических мероприятий рекомендуется периодически посещать стоматолога.
Единственный недостаток – высокие цены на коронки из диоксида циркония. Это объясняется сложностью процесса изготовления и высокой себестоимостью материалов. Однако такие затраты оправданы непревзойденной эстетикой и высочайшим качеством протезирования зубов оксидом циркония.