Другие статьи

Терапевтическое лечение кисты зуба

Киста зуба
Одна из услуг круглосуточной клиники «Дока-Дент» - терапевтическое лечение кисты зуба. Это сложная патология, для которой характерно образование полости с гноем около верхушки корня. Поскольку киста располагается далеко в глубине десны, до нее довольно непросто добраться. И еще недавно вместо терапевтического лечения кисты зуба его просто удаляли. Сегодня в стоматологии практикуются новые методики, позволяющие избавиться от новообразования и при этом сохранить зуб.

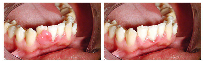
Терапевтическое лечение кисты зуба: фото до и после

Когда применяется терапевтическое лечение кисты зуба

Патология начинает развиваться при попадании инфекции в поврежденные околозубные ткани. На первом этапе формирования, когда диаметр не превышает полсантиметра, терапевтическое лечение кисты зуба проходит проще всего. Однако диагностировать ее достаточно сложно. Болезнь совершенно не проявляется внешне, не вызывает болевых ощущений и недомогания. Изредка можно заметить лишь незначительную припухлость десны, но ее по ошибке принимают за другие заболевания ротовой полости.
Есть шанс выявить заболевание во время рентгеновского обследования по поводу другой стоматологической проблемы. В этом случае, при допустимых размерах полости (в пределах одного сантиметра) можно применить терапевтическое лечение кисты зуба. При позднем обнаружении проблемы, чаще всего, приходится прибегать к хирургическим способам лечения. Они затрагивают целостность челюстной кости, а в некоторых ситуациях даже удаляется часть зуба.

Как проводится терапевтическое лечение кисты зуба

При терапевтическом лечении кисты зуба пациент избавляется от новообразования без хирургического вмешательства. Суть консервативного метода сводится к следующему:
  • больной зуб рассверливают;
  • корневой канал хорошо вычищают и промывают;
  • в канал вводят антимикробные средства для уничтожения кисты.
После освобождения кистозной полости от гнойного содержимого ее заполняют специальным препаратом для повышения регенерации тканей. При терапевтическом лечении кисты зуба сначала ставится временная пломба. Для контроля эффективности пациент должен через шесть месяцев пройти на рентгенографию. Если результат удовлетворительный, корневой канал пломбируют и восстанавливают коронку. Но иногда после терапевтического лечения зуба случаются рецидивы. Поэтому важно регулярно посещать стоматолога для осмотра.
А чтобы снизить риск появления недуга, необходимо заняться профилактикой:
  • посещать клинику для профессиональной гигиены полости рта;
  • всегда доводить лечение до конца;
  • тщательно чистить зубы;
  • избегать травмирования челюсти.
Если же вам назначили терапевтическое лечение кисты зубов, не откладывайте его, чтобы избежать негативных последствий.